Одесса
Вопрос по узи
Девчонки,подскажите,что это может быть.Узистка так и не сказала внятно,склоняется к аднекситу в левой трубе.А может это просто фолликул?иоможет кто то сталкивался с таким.
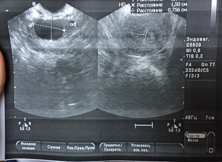
«Рядом с левым яичником виз-ся образование,с утолщенным контуром,просвет жидкостный.ф 19*14мм.а может это внематочная,уже думаю о самом страшном((фото узи 



Аделаида
А вы тест делали ? Мне пахожее на УЗИ находила криворукая узистка так та вообще вб поставила а оказалось кольцом кишечника
0
18.10.2017
Ответить
Одесса
Да вот сейчас еду как раз за тестом...О Боже!!это вообще кошмар.такое перепутать.
0
18.10.2017
Ответить
Аделаида
Так да думала порву ее потом . Ещё и написала так красиво пя 13 мм в трубе . А потом на другом уже все разложили по полочкам . А вы сделайте тест , у вас же 13 дц ?
0
18.10.2017
Ответить
Одесса
Ничего себе ,это уже недель 5 должно быть при таком пя!!ахренеть врачи.Сейчас буду делать тест.Страшно блин...но думаю 13 д.ц.еще рано для такого пя(18мм).
0
18.10.2017
Ответить
Аделаида
О так у вас вообще 18 мм. Между прочим труба может только 15 мм выдержать . Так что вб у вас врятли и тест будет отрицательным скорее всего
0
18.10.2017
Ответить
Одесса
Фух.надеюсь...и тоже странное заключение
Слева-ПОХОЖЕ,визиализируется орнамент трубы,не исключено хронический аднексит....
0
18.10.2017
Ответить
Аделаида
Ну по сути заключение не о чем . Кажется ей там что то но она и не уверена . Красота .
0
18.10.2017
Ответить
Аделаида
спокойствие . при пя 18 мм тест будет жирнющий . покажите фото теста
0
18.10.2017
Ответить
Одесса
Да тоже так думаю.вот фото.как смогла сфотографировала
Но помоему реагент больше да?
Но помоему реагент больше да?
0
18.10.2017
Ответить
Аделаида
Да серой кажется . Можете ещё тест один сделать и успокоится . Не может при предполагаемом пя быть такой тест
0
18.10.2017
Ответить
Аделаида
Сделаете отпишитесь . А из-за чего на УЗИ пошли ? Беспокоило что то ?
0
18.10.2017
Ответить
Одесса
Нет,не беспокоило в принципе.Отслеживаю Овуляцию(фолликулометрия)
0
18.10.2017
Ответить
Аделаида
А ну так откуда вб взяться . Тест мог реагента на овулю показать . А то что там на УЗИ нашли реально могло быть и кишечником пахожее у меня виднелось
0
18.10.2017
Ответить
Аделаида
Вот и я о чем . Как увидела ваше , вспомнила своё кольцо . Узистка потом это УЗИ показала она сразу сказала что это кишечника кольцо с жидкостью
0
18.10.2017
Ответить
Аделаида
Да планирую . В июне был выкидыш , теперь пока борюсь с приколами организма все никак в норму не придет (
0
18.10.2017
Ответить
Одесса
Тоже самое,в апреле анэмбриония на 6 нед,в августе замершаяна 9,4 нед..вот тоже,метаморфозы организма теперь,то эндик не растет,то кисты,то тут сегодня эта фигня...хочется быстрее восполнить потерю,но организм навнрное говорит обратное..ну,будет ждать.Вам желаю заветных // и поскорее)))
0
18.10.2017
Ответить
Аделаида
Надо наарено ждать когда все в норму придет. У меня был выкидыш на 7 неделе . И что то все ну никак . Вроде норм было в этом месяце опять ( мне гинеколог вообще сказал ещё в августе что 3 месяца не планировать судя по всему прав был . Ну ничего , будет и на нашей улице праздник
0
18.10.2017
Ответить
Одесса
Я тоже уверенна,что быть мамой суждено каждой!просто всему свое время!
0
18.10.2017
Ответить
Ташкент
Ирина, мне аднексит увидели только на ГСГ за 2 года на узи ни слова про него не было.
0
18.10.2017
Ответить
Одесса
Вот так .ничего себе...
А вы не знаете,что может быть за образование,которое находится рядом с яичником?
0
18.10.2017
Ответить
Ташкент
Если я не ошибаюсь, если бы у вас была ВБ то образование должно быть в трубе, не в яичнике.
0
18.10.2017
Ответить
Ташкент
Ой у меня так было, когда мы с гиней поймали овулю. Она у меня с утра была, я к гине побежала и тоже была жидкость и разрыв прям видно было на узи, но вот точно подробностей не вспомню уже.
0
18.10.2017
Ответить
Одесса
А у меня ж оно как в капсуле.плотной.поэтому даже не знаю..вроде как доминантный фол с права,а тянет слева,где это образование.
0
18.10.2017
Ответить
Одесса
Она написала возле яичника.и сказала,немного труба расширена,но почему то не написала об этом..вообщем все странно это
0
18.10.2017
Ответить
Щелково
Тоже сразу подумала о том, что врач видит расширенную трубу. ХГЧ не назначили , возможно, так как фаза цикла совершенно не подходит. Но я бы и аднексит не ставила. Либо сальпингит, либо гидросапинкс.
0
19.10.2017
Ответить
Одесса
А как это точно узнать?смотреть узи в динамике?если процесс будет прогрессировать,тогда уже начинать лечение?И какое лечение при таких заболеваниях?возможна ли нормальная беременность?спасибо
0
19.10.2017
Ответить
Щелково
Сдайте кровь на ХГЧ , с результатами обратитесь снова к врачу, пройдите УЗИ, но и осмотр требуется. Также может помочь ОАК, ОАМ. Если труба действительно расширена, требуется динамика, но и противовоспалительная терапия не помешает.
0
20.10.2017
Ответить
Одесса
Спасибо за ответ.Сегодня побежала на узи,так как тест поярчал,уже в трубе ничего нет,фолликул доминантный с другой стороны сдулся с 21мм до 12 и эндометрий с 7.5 до 5мм уменьшился и это на 15дц .жидкость скудном количестве .Овуляция сомнительна в заключении..вообще непонятно,что происходит.гормоны первой фазы в норме,второй фазы еще не сдавала..Всегда сидела на дуфастоне с 16-25день.после замершей беременности еще не принимала его.может нужно опять начать его принимать. гинеколог предлагает сделать пайпель биопсию,я в сомнениях,надо ли.
0
20.10.2017
Ответить
Щелково
НЕ совсем поняла ситуацию. в любом случае, не следует переделывать тесты, а следует один раз сдать кровь на ХГЧ. Если хотите, можете написать мне Вашу историю подробно, приложите результаты обследование, разберемся тогда насчет пайпель.
0
23.10.2017
Ответить
Одесса
И сегодня начались рези иногда слева.прям сильные,но периодами.как при Овуляции.
0
19.10.2017
Ответить
Ижевск
Вы тест не делали? У меня в один цикл тоже нашли что то около яичника, но это было ещё до задержки, закончился этот цикл ВБ. Не знаю что это было. Сделайте тест.
0
18.10.2017
Ответить
Одесса
Обязательно...сейчас как раз еду за ним..хоть бы только не это..Только 2 месяца назад была замершая...хотя в прошлом цикле у меня тоже находили такой фолликул возле яичника,потом мес пошли,на 7 дц уже небыло.и вот опять,только уже больше в размере.может все таки фолликул..вообщем буду плясать от теста.
0
18.10.2017
Ответить
Ижевск
Ну фоликул должен быть на яичник? А может это то же что у вас в прошлый раз находили. Всё нормально будет, просто я как ваш пост прочитала сразу вспомнила свою ситуацию,хотя я думаю что у меня тоже тогда на УЗИ увидели ни вб т.к хгч был на тот момент очень низкий.
0
18.10.2017
Ответить