Мама мальчика (8 лет), планирую беременность
Казань
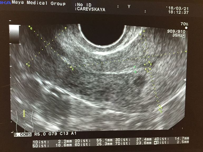
Анэхогенное овальное образование. У кого было???
Всем привет! Давно ничего не писала после выкидышей) у меня вот что: на фоне приема ОК произошел горональный сбой. М пришли раньше. Потом произошла О, но эндик благодаря ОК был тонким, чем надо. И вот на узи нашли в средней трети марки Анэхогенное образование без видимо капсулы. М были 1 ого Марта.
Грудь налилась, тошнит, но Гиня говорит, что это из за сбоя гормонов.
Девочки, у кого было такое? В инете вплоть до рака инфу нашла (((( фото прикрепила.
Это точно не Б, врач уверена. 
Мама мальчика (7 лет)
Кемерово
Не читайте интернет! Там все, что ни поищи - онкология.
У меня нашли похожее - врач предположила субмукозный узел - через 10 дней гистероскопия.
Но мы мониторили по УЗИ несколько циклов - врач говорила, что оно может и исчезнуть, типа складка эндометрия. Это может полип или кисточка. В любом случае, ничего страшного, не думайте о таком!
0
25.03.2018
Ответить
Мама мальчика (7 лет)
Кемерово
Но это моя история, если у вас была О - сделайте тест. У меня наступила Б и на тонком эндометрии после отмены ок
0
25.03.2018
Ответить
Мама мальчика (16 лет), беременна, 32 неделя
Казань
О была, жт 17 было. Про полипы начиталась. Уф, ох уж этот интернет)))) я была бы счастлива, если Б)))) но ее исключил врач((
Вот только появилась эта штука. У Вас давно??
0
25.03.2018
Ответить
Мама мальчика (7 лет)
Кемерово
У меня она появилась в цикл после отмены ок. По крайней мере, стала видна. Но я долго ок пила...
А как вам исключили Б, если у вас всего примерно 10 дпо? На УЗИ не видно ничего ещё...
0
25.03.2018
Ответить
Мама мальчика (16 лет), беременна, 32 неделя
Казань
Сказала,что нет четкого контура, поэтому.
То есть можно планировать Вам не смотря на это образование?
0
25.03.2018
Ответить
Мама мальчика (7 лет)
Кемерово
Нет. У меня зб случилась возможно из за него ( сначала гистероскопия, потом вернёмся к планированию
0
25.03.2018
Ответить
Мама мальчика (16 лет), беременна, 32 неделя
Казань
Желаю вам скорейших //)))))
0
25.03.2018
Ответить
Мама мальчика (16 лет), беременна, 32 неделя
Казань
И моя врач ничего не говорит, просто образование. Только Начинаем мониторить. Хотела через полгодика снова планировать и тут такое...
0
25.03.2018
Ответить
Мама мальчика (7 лет)
Кемерово
Будете значит планировать, если хотите)) я думаю через цикл после гистероскопии приступить)
0
25.03.2018
Ответить