Войти

Узи малого таза

0
21
Мама мальчика (10 лет) Пенза
Вам наверное заключение УЗИ дали,где написано есть или нет беременности
0
27.12.2018
Балаково
Она написала ,что не лоцируется плодное яйцо. То есть не видит его
0
27.12.2018
Мама мальчика (10 лет) Пенза
А тесты положительные?
0
27.12.2018
Балаково
Слабые 2 были на 19 дз
0
27.12.2018
Мама мальчика (10 лет) Пенза
Вам надо сдать на ХГЧ. Если он положительный,то УЗИ увидит ребенка при ХГЧ от 1000 Если отрицательный,то нет беременности
0
27.12.2018
Балаково
Я делала на маленьком сроке задержки пришел 0.1
0
27.12.2018
Мама мальчика (10 лет) Пенза
Я зашла сейчас к вам на страницу,вам же на узи сказали что у вас фолликулярная киста.при ней беременность исключена! Так как фолликулярная киста означает что фолликул рос,но не лопнул, овуляции не было и значит беременности быть не может . И правильно вам сказали что нужно пить Дюфастон, такие кисты и вызывают задержку, ещё долго можете ждать месячных,надо пропить дюф и на отмене придут месячные. Во время месячных она будет рассасываться,но не факт что за одни месячные уйдет, у вас 36 мм,возможно понадобится 2 цикла
0
27.12.2018
Балаково
Так один яичника рабочий сказали, при котором могла быть беременность
0
27.12.2018
Мама мальчика (10 лет) Пенза
Он рабочий,но не может наступить беременность пока есть такая киста. Овуляции не будет у вас! Она блокирует рост других фолликулов и не даст наступить овуляции.
0
27.12.2018
Балаково
Ну спорить не буду, так как не знаю. Вот и спрашиваю. Посмотрим ,если месячные не придут после нг. То схожу опять. Но слышала много историй ,что была беременность и при такой кисте
0
27.12.2018
Мама мальчика (10 лет) Пенза
Это ложь. Смысл ждать нг? Чтоб она росла и не дай бог произошел перекрут или лопнула? Вы извините,но вы бред творите. Сдайте сейчас на ХГЧ, с такой задержкой он должен быть уже огромным и тесты должны быть яркие. И вызывайте месячные.
0
27.12.2018
Мама пятерых (от 6 лет до 27 лет) Москва
При кисте желтого тела возможна и вполне вероятна беременность, вам же ставят фоликулярную кисту, это разные вещи. Месячные вызывают тем что пьют дюфастон несколько дней ( сколько точно вам скажет врач) и резко бросают на отмене через несколько дней приходят месячные, и цикл начинается с О , киста без необходимого гормона будет рассасываться.
0
27.12.2018
Балаково
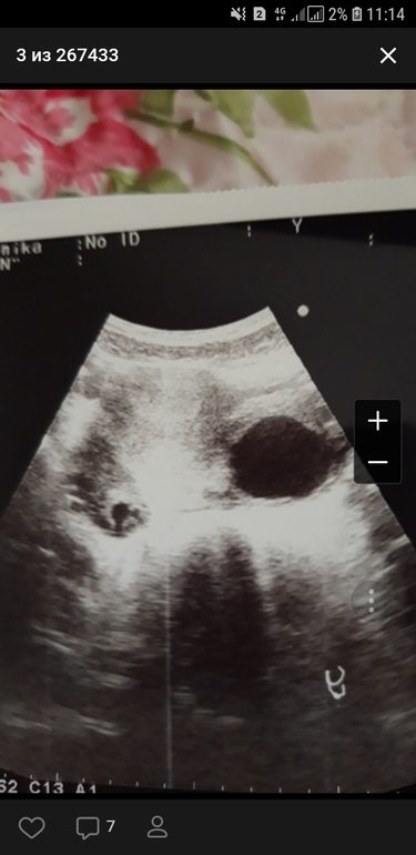
а я что то вижу!
0
27.12.2018
Мама пятерых (от 6 лет до 27 лет) Москва
Это фото яичника. Большое черное пятно это киста, вокруг несколько маленьких фолликулов
0
27.12.2018
Мама двоих (7 лет, 2 года) Москва
прежде чем "что-то видеть" посмотрите хотя бы как выглядит беременность малого срока на узи. Киста у вас шикарная. И хорошо что еще маленькая, у меня была 10 сантиметров, я пила с 10 по 25ый дц дюфастон, за 1 такой прогон киста сдулась.
0
27.12.2018
Мама двоих (6 лет, 9 месяцев) Ярославль
А на УЗИ что сказали?
0
27.12.2018
Балаково
Киста фолликулярная левогояичника 36мм, плодное яйцо не лоцируется, то есть не видит
0
27.12.2018
Мама двоих (6 лет, 9 месяцев) Ярославль
Сколько у вас ЭХО мм? (Эндометрий)
0
27.12.2018
Балаково
14мм
0
27.12.2018
Мама двоих (6 лет, 9 месяцев) Ярославль
У подруге один в один ситуация как у вас.и задержка была две недели.даже узи когда сделала-сказали что в матке что то есть.но хгч был отрицательный.потом через неделю пришли монстры
0
27.12.2018
Балаково
Я их и жду, но нет. Сейчас буду звонить врачу своему
0
27.12.2018
Задержка ,то ли киста ,то ли беременность Фолликулометрия

Похожие записи