планирую беременность
Вологда
Стимуляция и Киста! Что делать???
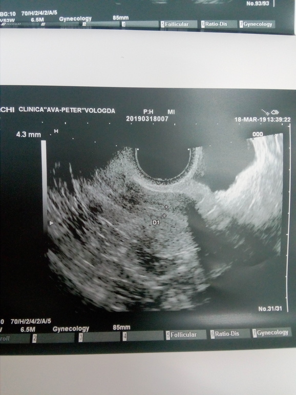
Здравствуйте девушки. Ситуация следующая. Идет первый цикл стимуляции клостилбегит по 1 таб в день со 2 по 6 дц. Врач сказала что перед приемом узи делать не надо, первое через пару дней после последней таблетки. Сегодня пошла на узи и пипец... На левом яичнике киста 29мм. Видимо с прошлого цикла. ХЗ что делать то теперь??? Можно кто сталкивался с таким.
Фото узи

Мама мальчика (6 лет)
Москва
Очень странный ваш доктор. Я делала 1 стимуляцию узишку на 10 и на 14 день. 2 стимуляцию узишку на 8,12,15 день. Узи как раз надо делать чтобы смотреть динамику роста, чтобы если что то можно подкорректировать что либо. Бегите от этого врача. Сейчас либо эта киста сама рассосется либо ОК будете убирать ее. Это просто потеря нескольких месяцев чтт очень обидно
0
18.03.2019
Ответить
Мама мальчика (4 года)
Вологда
Вот знала бы сама сходила. Киста видимо с прошлого цикла. Хотя до этого была уже такая но побольше и ушла с М. Буду мониторить, в субботу еще на узи схожу. Единственное боюсь как бы она не росла больше
0
18.03.2019
Ответить
Мама мальчика (6 лет)
Москва
Меня простт врач мониторила. И эндометрий, и фолликулы. В 1 стимуляцию у меня к 10 дню фоллики выросли как лошади, мы подращивали эндометрий. А во 2 стимуляцию эндометрий рос как на дрожжах а фоллик и таблетками и уколами. И только до 16мм дорос. Поэтому как врач вслепую вас лечит? Загадка
0
18.03.2019
Ответить
Мама мальчика (4 года)
Вологда
Врач из жк, на узи хожу к платному. Вот только в среду к врачу, сегодня у меня 8дц, на узи пришла в этом цикле первый раз. Знала бы что в начале самом сходить еще надо, что бы глянуть нет ли кист, сходила бы. Но вот таблы то я уже выпила все.
0
18.03.2019
Ответить
Мама мальчика (6 лет)
Москва
Я думаю что нужно в жк идти и думать что делать. По сути она должна либо с месиками уйти, либо таблы противозачаточные попить. Они должны ее согнать.
0
18.03.2019
Ответить
Мама мальчика (6 лет)
Москва
Не переживайте!!!все будет хорошо)))с у вас спкя?
0
18.03.2019
Ответить
Мама троих (9 лет, 6 лет, 4 года), планирую беременность
Челябинск
Ну что, как ваша киста, ушла? Или еще не смотрели?
0
29.03.2019
Ответить
Мама мальчика (4 года)
Вологда
Была на узи на 13 дц киста уже порядком уменьшилась. Во втором Я ДФ был 24мм, но походу он регресировать начал тк стенки были уже не ровные. Я стимулировалась без укола, вот и О не было. ЖДу начало след цикла и снова на стимуляцию, но теперь то схожу и посмотрю что и как до таблеток еще
0
29.03.2019
Ответить
Мама троих (9 лет, 6 лет, 4 года), планирую беременность
Челябинск
А почему без укола? Я думала укол обязателен при стимуляции, чтобы как раз-таки этих кист избежать, яичники ведь с усиленной скоростью пашут. Мне так врач говорила.
Ну здорово, хоть уменьшается! Значит уйдет все лишнее к следующему циклу!
А на счет жк у меня свое мнение: им там в большинстве случаев лишь бы для галочки вас принять, все как попало делают(( За 15 лет постоянного хождения туда поняла это.
Я стимулируюсь в специальном Центре планирования, у нас в городе есть бесплатный для прописанных в городе, вот там все по уму, с сыном там же удачно стимулировалась. Узи аппарат сразу же в кабинете, все сразу же тут на приему бесплатно и сделают. Кайф конечно так лечится. Обслуживают как платников. Приняли меня на 20 минут позже, так все извизвинялись, хотя я и не жаловалась)) В каждый город бы по такому центру! У вас нет ничего подобного?
0
29.03.2019
Ответить
Мама мальчика (4 года)
Вологда
Не назначила укол сразу, я сама хотела сделать, но вот когда на узи была, сказали ничего не ждать, дф не будет, я и не стала. На узи то потом пошла чтобы посмотреть не выросла ли киста.
Вообще я наблюдаюсь у платного врача, в жк да там конечно врачи ни о чем. Спорю постоянно с ней. Вечно фигню хочет назначить. А платной нет пока записи. Ждать особо не когда вот 6 мес уже после лапары, вот в жк и пошла, до этого была там только раз чтобы направление на лапару взять, ну и больничный после лапары закрывала там. Если проблем нет то и в жк норм, а так там ничем не помогут.
На узи хожу в платный центр, там эко у нас делают, вот там врач вообще классная (плохо что на 8дц была у другого врача). Вроде на фолликулометрию пришла за 300р, а расскажет и даст советы что и как.
0
29.03.2019
Ответить
Мама мальчика (4 года)
Вологда
Теперь я в курсе про стимуляцию что и как. Буду бдить. Хорошо еще что эндик не подводит, на 13дц 9,7мм и структуры хорошей
0
29.03.2019
Ответить
Мама троих (9 лет, 6 лет, 4 года), планирую беременность
Челябинск
Ну ничего, первый блинчик комом, во второй раз все обязательно получится и будет как надо!!!
0
29.03.2019
Ответить
Мама мальчика (4 года)
Вологда
Приложу максимум усилий чтобы всё получилось! Главное теперь знаю что и как
0
29.03.2019
Ответить
Мама двоих (9 лет, 6 лет), планирую беременность
Москва
С кистой не сталкивалась, напишу лишь про свою стимуляцию клостом в этом цикле (первую). Делала с 3 по 7 дц по 1 таб. на 9 дц на узи в пя дф 22 мм, в ля 14, 13, 12 мм. На клрсте фоллики очень быстро растут, может у Вас реакция организма такая? Я укол хгч в тот же день сделала. На 15 дц 2 жт, по 1 с каждой стороны.
0
18.03.2019
Ответить
Мама мальчика (4 года)
Вологда
Спасибо за ответ. Вот и не знаю что и думать. В принципе думаю вряд ли так фолик быстро вымахал. Я переживаю за то что не начала бы киста еще больше расти. Вот еще смущает что она почему то на узи как то не как киста выглядит, что то уж больно края не ровные
0
18.03.2019
Ответить
Мама двоих (9 лет, 6 лет), планирую беременность
Москва
Многие пишут, что фолликулярные кисты с месячными уходят. С клостом закончили, врядли больше вырастет
0
18.03.2019
Ответить
Мама мальчика (4 года)
Вологда
У меня уже была фолликулярная киста и она ушла с М. А тут нет. Ерунда какая то. Ну как врач сказала что может и будет может не будет рости, но от других фоликов можно ничего не ждать
0
18.03.2019
Ответить
планирую беременность
Сызрань
Бегите от такого врача, перед стимуляцией обязательно нужно УЗИ, чтобы никаких кист не было. Они ведь от стимуляции вырасти могут.
0
18.03.2019
Ответить
Мама мальчика (4 года)
Вологда
Теперь то буду знать. Я что сейчас делать не знаю. Странно что киста не ушла с М. была киста в первом цикле после лапары и ушла после М. И как то уж она выглядит странно, края не ровные какие то.
0
18.03.2019
Ответить
Мама троих (16 лет, 12 лет, 5 лет)
Брянск
Со стимуляцией не сталкивалась, но у меня была киста 40 мм. Киста конечно хоть и вызвала задержку (помогали дюфастоном), но ушла сразу же с месячными. Если конечно это фолликулярная киста
0
18.03.2019
Ответить
Мама мальчика (4 года)
Вологда
У меня в первом цикле после лапары была киста и она ушла с М. А тут я даже и не знаю, сказала врач что фолликулярная
0
18.03.2019
Ответить