планирую беременность
Нальчик
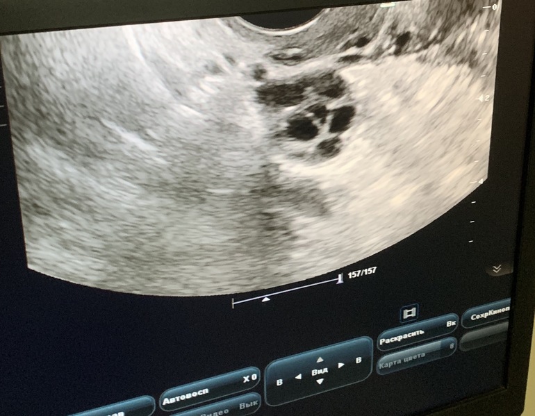
Фолликул с прошлого цикла
Всем привет🌸
Вчера была на узи, пошла после положительного теста на о.
Овуляцию подтвердили, но лопнул фолликул с прошлого цикла.
У кого было так же? Была ли беременность с таким фолликулом?
Девочки интересно ваше мнение ☺️🤞🏼
P.S. Фото фолликула после о прилагаю, это что-то странное😂 с мужем очень смеялись, он теперь ждёт мальчика, а я вижу суриката😅🤪 
Мама мальчика (9 лет)
Кривой Рог
А как узист поняла, что лопнул фолликул с прошлого цикла? Такое же не возможно, вроде как? Фолликул или лопается в цикле в котором созрел, либо может превратиться кисту, но в следующем цикле он не может лопнуть🤷
0
11.08.2019
Ответить
Мама мальчика (3 года)
Нальчик
Сразу извиняюсь за длинный ответ. Но вдруг это будет интересно кому-то🌸
Я ходила на узи на 10 дц, потом случилась о, и на 13 дц я пошла на повторное узи. При первом узи мне узист показала это фолик с прошлого цикла, но отметила что он немного кривой, с прошлого цикла и что он не лопнет.
В прошлом цикле он как раз не лопнул, отслеживала по узи, о не было, он вырос до 24 мм точно. Следующее узи только на 10дц вот делала.
При крайнем узи так же узист отметила жидкость и сказала что этот фолликул сдулся как будто он лопнул.
Думаю на него, так как на 10 дц дф был 9,5 мм. Или это он мог лопнуть?
0
11.08.2019
Ответить
Мама мальчика (9 лет)
Кривой Рог
Вполне мог лопнуть фолликул 9.5 мм, если О была на 12 дц. +УЗИ не измеряет точно, может быть погрешность, он мог быть и 10 и 10.5 мм и за 2 дня дорасти до 15-16 мм и совулировать. А ЖТ какого размера? Обычно, ЖТ чуть-чуть меньше размера фолликула который лопнул.
0
11.08.2019
Ответить
Мама мальчика (3 года)
Нальчик
Спасибо за ответ) желтое тело не увидела узист, сказала ещё рано, есть св.жидкость 5 мл.
0
11.08.2019
Ответить
Мама мальчика (9 лет)
Кривой Рог
То есть, ЖТ она не увидела, но есть же фото фолликула? Значит это не он совулировал, раз после О видно фолликул с прошлого цикла, а ЖТ ещё не сформировалось?
0
11.08.2019
Ответить
Мама мальчика (3 года)
Нальчик
Да, но она сказала что он лопнул но так как был большой ещё остался и его видно.
Завтра кажется пойду на узи в другую клинику😂😅
Может этот тот маленький фолликул лопнул🤭
Мне нет разницы на самом деле, лишь бы б наступила в этом цикле🌸🤰🏼
0
11.08.2019
Ответить
Мама мальчика (9 лет)
Кривой Рог
Действительно, лучше в другую клинику сходить, и бо все очень странно. Он не мог просто лопнуть, он должен был превратиться в ЖТ. Скорее всего, просто он начал "сдуваться", рассасываться, а овулировал маленький. Как бы там ни было, удачи Вам и скорейших //)
0
11.08.2019
Ответить
Мама мальчика (5 лет), планирую беременность
Ижевск
Мне вот тоже интересно🤷♀️
0
11.08.2019
Ответить
Мама пятерых (от 2 года до 15 лет)
Пермь
Если фолликул с прошлого цикла, то он перезревший, значит ЯК в нем уже не "качественная" и оплодотворение врятли возможно, если фолликул все таки новый, то Б вполне вероятна, если попали с ПА в этом промежутке...
0
11.08.2019
Ответить
Мама мальчика (3 года)
Нальчик
Спасибо за ответ)
Думаете, что перезревший мог совулировать?
Надеюсь на качественную ЯК🤞🏼 Почихайте на меня☺️
0
11.08.2019
Ответить
Мама пятерых (от 2 года до 15 лет)
Пермь
Я про такое вообще не слышала, что перезревшие овулируют, но мало ли что бывает... 🙈 Аааааппппппчхииии на вас! 🤤🤤🤤🤤🤤🤧🤧🤧🤧🤧🙃🙃🙃🙃 Запузячивайтесь! 😍
0
11.08.2019
Ответить
Мама мальчика (3 года)
Нальчик
Поймалааааааа☺️☺️☺️ Спасибо большое!😌 будет сделано!👌🏼🌸
0
11.08.2019
Ответить
Мама мальчика (5 лет), планирую беременность
Ижевск
Это - как получается, весь цикл фолликул находился в яичнике и после следуших месячных он лопнул? А как это определили?
0
11.08.2019
Ответить
Мама мальчика (3 года)
Нальчик
Чуть ниже написала девушке. Вот не знаю, пытаюсь разобраться.
Как только я в том цикле поняла что мой дф не лопнул я прочитала много инфы на этот счёт.
Я в смятении, неужели это лопнул фолликул 9,5 мм?!
0
11.08.2019
Ответить
Мама двоих (16 лет, 8 лет), планирую беременность
Гирне
Блин, эти УЗИсты в силу своего всемогущего «виденья» такое иногда навыглядывают 🤪 И как яйцо по трубе движется (после положительно растущего хгч), и миому вместо эмбриона, и прошлогодний фолликул 😅. Мне как-то гидросальпинкс трубы увидели, а это бесплодие 100% без вариантов. Чуть на удаление трубы не отправили. А у меня 2 Б после этого произошло.
0
11.08.2019
Ответить
Мама мальчика (3 года)
Нальчик
😂😂😂спасибо за позитив) согласна с вами во многом, но по всем признакам фолликул который на фото - с прошлого месяца, это 100%. А лопнул он или какой-то фолик рядом это уже точно она мне не скажет. Говорит: лопнул старый, при этом остался в яичнике, из него вытекла жидкость 😂😅
Хз дальше будет видно😅
0
11.08.2019
Ответить