планирую беременность
Екатеринбург
Аденомиоз ли ?
Милые девочки! Мне 36 лет. Никогда не делала узи. Впервые встаю на трапу планирование беременности.
2 марта сходила на узи и мне написали заключение аденомиоз.
Узистка была обеспокоена доминантным фолликулом и сказала придти 16 марта проверить , а вот про аденомиоз ничего мне не сказала , не прокомментировала заключение и я не обратила внимание мое. Только дома заметила надпись и то не я. Вся извелась. На приём к гинекологу только 17 марта. Подскажите , все плохо у меня или нормально, смогу ли забеременеть или это бесплодие?

Лучший ответ
Анастасия
Мама пятерых (от 3 года до 10 лет)
Ногинск
Аденомиоз по узи не ставится. Мне тоже как то на узи его поставили 🙈к врачу пришла, она лишь посмеялась и сказала что нет его у меня. Кстати спокойно заБ 4 раза.
Так что у вас тоже все шансы есть.
0
05.03.2020
Ответить
планирую беременность
Екатеринбург
Успокоили вы меня , самый чуток. Спасибо большое .
А как врач определил ,что его у вас нет?
0
05.03.2020
Ответить
Мама пятерых (от 3 года до 10 лет)
Ногинск
Ну во первых она мне не один год ведет))) вот как начала с 18 лет ходить в жк так и знает про все мои болячки)
Во вторых , она сказала что такие диагнозы на узи не ставятся 🙈нужна гистера!
В третьих мои прошлые узи были все в норме) и сказала что такую картину на узи получили из за воспаления левого яичника (как раз было)
0
05.03.2020
Ответить
планирую беременность
Екатеринбург
А диагноз вам ставили до первого ребёнка ?
У меня ещё вопрос , коль вы счастливая мама и разбираетесь во многом☺️.. 4-5 фолликул в одном и в другом яичнике тоже 4-5 это норма или стоит побеспокоится ?
0
05.03.2020
Ответить
Мама пятерых (от 3 года до 10 лет)
Ногинск
4-5 норма. Аденомиоз ставили перед третьей Б, и в след цикле я успешно забеременела и уже аденомиоза не было.
0
05.03.2020
Ответить
Мама двоих (5 лет, 9 месяцев)
Москва
Аденомиоз могут на УЗИ заподозрить по ячеистой структуре миометрия (ячейки- это и есть лакуны в миометрии, заполненные кровью).
Я забеременела с аденомиозом (диагностированным кроме того и лапароскопией. Кстати, часто адномиоз возникает после раздельного диагностического выскабливания. Вроде лечишь одно и тут же этим калечишь другое).
Врач сказал, что аденомиоз не препятствие к Б и Б с аденомиозом может протекать не хуже , чем без него.
0
05.03.2020
Ответить
планирую беременность
Екатеринбург
Спасибо за комментарий.
У меня не было выскабливаний, каких либо оперативных вмешательств и абортов тем более .
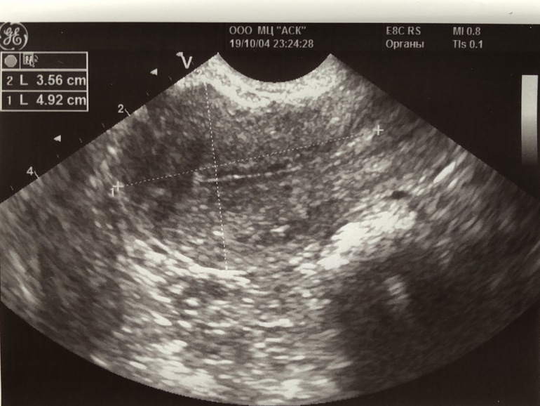
А у меня на фото есть ячеистые структуры миометрии?
0
05.03.2020
Ответить
Мама двоих (5 лет, 9 месяцев)
Москва
Мне заметны ячейки, и в заключении УЗИ указано о наличии диффузных (то есть равномерно распределенных) изменений миометрия.
И одной из причин аденомиоза и эндометриоза также могут быть неполадки с иммунитетом или с гормонами, ну и, как я ранее написала, по причине разного рода вмешательств оперативных.
0
06.03.2020
Ответить
Москва
Все у вас нормально. Аденомиоз - это диагноз "через одного", то есть часто встречается, но все беременеют. Главное, что фолликулы растут.
Сколько дней цикл у вас?
0
05.03.2020
Ответить
Москва
На 16-17 день цикла повторите УЗИ, посмотрите, была ли овуляция. Надо понять, лопаются ли фолликулы.
0
05.03.2020
Ответить
Мама двоих (11 лет, 5 лет)
Жуковский
Мне несколько раз на УЗИ ставили "признаки аденомиоза" (диагноз аденомиоз на УЗИ не ставят, могут только признаки обнаружить). Моя врач сказала, что если симптомов и проявлений его нет, не страшно. Забеременела и выносила без проблем.
0
05.03.2020
Ответить
планирую беременность
Екатеринбург
Очень приятно и от вас слышать, что это не приговор..
Да и я сама под сомнение поставила ее заключение.
Я ей лишь озвучила, что за 3 дня мажет.
Как пишут в симптомах боли сильные при мцикле и обильные . У меня же боли не существенные и даже меньше, чем по молодости и не обильные .3 дня мцикл.
А у вас не мазало?☺️Если не секрет
0
05.03.2020
Ответить
Мама двоих (11 лет, 5 лет)
Жуковский
Нет, у меня ни болей, ни мазни, вообще никаких симптомов из тех, что описывают при аденомиозе. Я потому и удивилась, что мне так настойчиво его на каждом УЗИ приписывают. У меня из косвенных признаков только форма матки на УЗИ (шаровидная) и месячные с мелкими сгустками бывают. Со всеми этими "радостями" у меня первая беременность наступила на 3-4 цикл (без отслеживания овуляции), потом была ещё одна незапланированная беременность, но она сорвалась (не из-за аденомиоза), сейчас вот планировать второго начали, пока первый цикл идёт, не знаю, когда в этот раз получится. Т.е. в плане беременности аденомиоз совсем не приговор (это если он вообще у вас есть, на УЗИ его можно только предположить).
0
05.03.2020
Ответить