планирую беременность
Москва
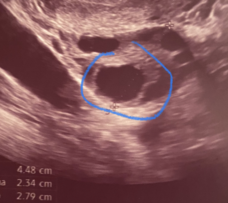
Фото узи. Неровные края.. может ЖТ?
Короче, последний пост про свою стимуляцию, честно, пока не сдам прогик.
11 ДЦ - фолликул 21 мм, укол
13 ДЦ - сдулся, 14 мм. Нет жидкости, нет ЖТ
Но как вам края фолликула? Или просто снимок размазался. Я дотошная. Завтра уже успокоюсь, но что думаете?

Левый яичник объём 5, правый 15
Фото ДФ 21 на 11 Дц 
Еще раз простите за назойливость и занудство:(
Мама мальчика (4 года)
Вологда
Судя по снимку это ЖТ. Фолик даже если он регресирует по другому выглядит. Да еще видно ведь что вокруг ЖТ есть ободок, у обычного фолика стенки тонкие. А жидкости может и не быть уже, тк она рассасывается в течении 1-4дней после овуляции.
Да и БТ говорит о прошедшей овуляции
0
23.04.2020
Ответить
Мама мальчика (4 года)
Вологда
Еще обратите внимание на снимок матки если эндометрии светлый по сравнению с прошлым узи то овуляция была
0
23.04.2020
Ответить
Мама мальчика (4 года)
Вологда
и по эндометрию видно, что уже секреторного типа. А 8,1мм это хороший размер, главное чтобы качественный был.
0
23.04.2020
Ответить
Мама девочки (4 года)
Москва
я позвонила своему лечащему врачу. объяснила, что да как. Она сказала что фолик сдулся, просто ЖТ еще не успело образоваться так быстро, чтобы яне переживала, сегодя БТ 37!
0
23.04.2020
Ответить
Мама мальчика (4 года)
Вологда
Ну врач у Вас конечно. Если сдулся фолик это значит регресировал. А совулировал это вообще другое. И ЖТ начинает образовываться сразу же, только постепенно меняя свои размеры и структуру. И у Вас прям видно что это ЖТ. У вас уже и жидкости за маткой нет.
0
23.04.2020
Ответить
Мама девочки (4 года)
Москва
То что фоллик сдулся, сказала узистка, просто мой врач работает в первой пловине дня, я не смогла к ней попасть. А сегодня я ей рассказала, она сказала что меньше рамер (14 мм), потому что Жт образоваться не успело, что позже оно будет больше. Я видимо не правильно написала здесь. Только вот верхнее фото - это типа должн быть ЖТ. А нижнее фото-это какой он был прям перед уколом..
0
23.04.2020
Ответить
Мама троих (2 года, 2 года, 5 месяцев)
Минск
Возможно вы сделали УЗИ как раз в момент О
0
23.04.2020
Ответить
Мама девочки (4 года)
Москва
Я бы хотела в это верить.
Вчера в день узи БТ 36.8
Сегодня БТ 37.0
У меня все циклы были ановуляторные, и Бт соответсвенно максимум 36.4-36.5
0
23.04.2020
Ответить
Мама мальчика (14 лет), планирую беременность
Воркута
Это 99% ЖТ!
0
23.04.2020
Ответить
Мама девочки (4 года)
Москва
Короче, позвонила я врачу сегодня своему. Сказала, что поперлась на фолликулометрию, ослушалась! Сказали что фолик сдулся и все короче ей описала. Она мне сказала так, как вы мне писали в другом посте:
фолик сдулся не успело еще образоваться ЖТ! не переживать и в субботу дюфастон начинать!
вот так, теперь надежды больше, и БТ 37!!!
0
23.04.2020
Ответить
Мама девочки (4 года)
Москва
У меня закрались сомнения. Вы говорите про ЖТ, о верхнем фото или о нижнем?
На нижнем фоллик 21 мм, а сверху как раз что то непонятное. Вы о верхней фотке???
0
23.04.2020
Ответить
Мама мальчика (14 лет), планирую беременность
Воркута
О верхней. На нижней ваш квадратный фоллик)
0
23.04.2020
Ответить
Мама девочки (4 года)
Москва
Вы меня извините, пожалуйста! Совсем с ума сошла :)))))))))))))))))
Спасибо за ответ
Все успокоилась 😀
0
23.04.2020
Ответить
