Мама троих (15 лет, 12 лет, 3 года), жду мальчика, 8 неделя
Калуга
Нас нашли 🥰
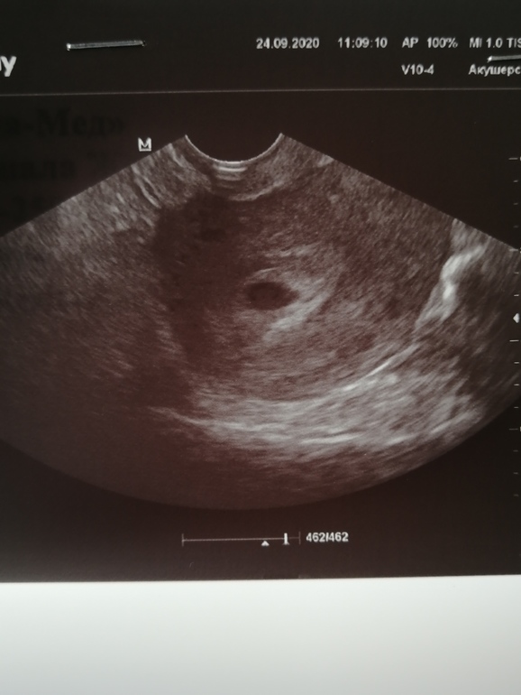
Ну что, ещё один этап пройден! Первое УЗИ!
смущает только то, что не увидели эмбрион( по последним М сейчас 5+4, а по УЗИ 4,6.
Мама четырех (от 1 год до 15 лет)
Санкт-Петербург
Поздравляю)))) Я в прошлую Б была на узи на сроке 5 недель и 6 дней и было только ПЯ, эмбриона тогда тоже небыло видно)
А какой размер ПЯ?
0
24.09.2020
Ответить
Мама четырех (от 5 лет до 21 год), планирую беременность
Калуга
Спасибо, Ксюша! 11 мм
0
24.09.2020
Ответить
Мама двоих (5 лет, 2 года)
Москва
Я была в 5,4 тоже не было сб)) все отлично! Поздравляю!
0
24.09.2020
Ответить
Мама четырех (от 5 лет до 21 год), планирую беременность
Калуга
На сб я не рассчитывала, хотя бы на эмбриончик
0
24.09.2020
Ответить
Мама троих (16 лет, 9 лет, 5 лет)
Москва
Поздравляю вас. Не переживайте, лучше не ходить так рано. Я пошла в 7,1 по М, по узи оказалось 6,2, эмбрион с трудом увидели, сердце не нашли. Неделю переживаний, сегодня узи по М в 8.1, по факту 7,1, долго искали, но все-таки определили сердцебиение. Уж лучше пойти в 8 недель.
0
24.09.2020
Ответить
Мама девочки (14 лет)
Москва
Это отличные новости, и правда можно немного выдохнуть )))🎊
У меня УЗИ послезавтра, идёт 5-я акушерская, жду и страшно и ужасно интересно!)🙏
0
24.09.2020
Ответить
Мама четырех (от 5 лет до 21 год), планирую беременность
Калуга
Спасибочки 🤗
Это и правда волнительно 🥰
0
24.09.2020
Ответить
Мама четырех (от 5 лет до 21 год), планирую беременность
Калуга
Спасибо, Алёна 🤗
0
24.09.2020
Ответить
Мама двоих (10 лет, 5 лет)
Подольск
А если хотите сердечко услышать то раньше 7 лучше не ходить
0
24.09.2020
Ответить
Мама девочки (5 лет)
Москва
Слава Богу) для Э ещё рановато, через пару недель уже сердечко забьётся. Хотя всё очень индивидуально, у кого-то раньше ,у кого-то позже! Не нервничайте.
0
24.09.2020
Ответить
Мама троих (15 лет, 9 лет, 5 лет)
Нью-Йорк
Света, мои поздравления 🙏🙏🙏 Ещё одно чудо на свете появится)))) Лёгкой беременности!!! ☺️🌺🌺🌺
0
25.09.2020
Ответить
Мама четырех (от 5 лет до 21 год), планирую беременность
Калуга
Спасибо большое, Катюш 🥰
0
26.09.2020
Ответить
Мама мальчика (5 лет)
Москва
Ой, отличные новости 👍 растите теперь здоровенькими и крепкими 💐
0
24.09.2020
Ответить
Мама четырех (от 5 лет до 21 год), планирую беременность
Калуга
Спасибо, моя хорошая 🥰
0
24.09.2020
Ответить
спасибо! Светлан, не переживайте, всё будет хорошо у вас! Скоро появится и Э и СБ! Хотя о чем я, сама такая 