Что это может быть?
Месячный цикл
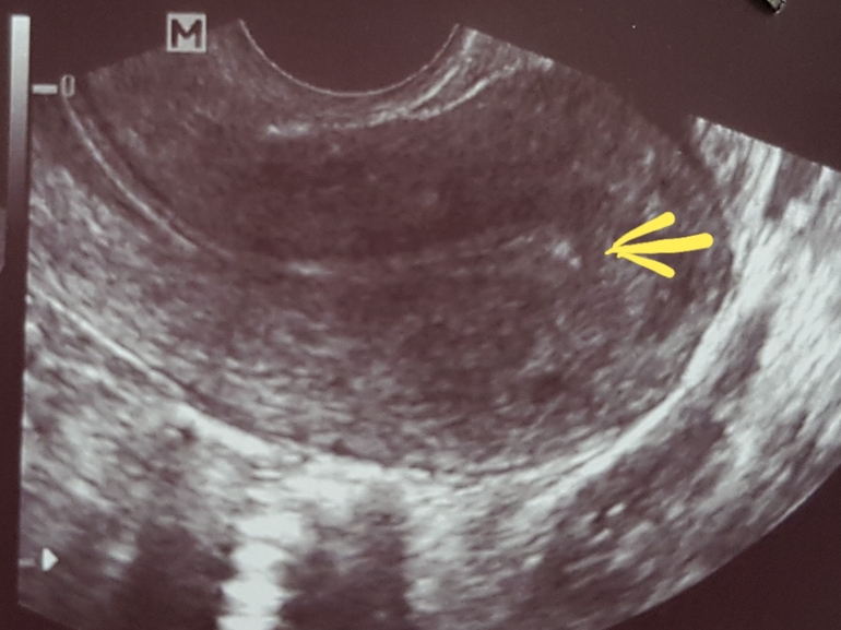
Что за включения могут быть на узи на 10 дц?
Я лонгидазу вставляла, вряд ли же из-за нее?
Юлечка
У меня было включения. А потом прошли. Не стоит волноваться, врач не сказала что это, сама не знала и с месячными не стало.
19.10.2020
Ответить
Людмила
да все что угодно вплоть до НИЧЕГО :) тлько узистка может сказать и только та которая делала
19.10.2020
Ответить
Дария
Мне белым вкраплением на узи врач увидела полип эндометрия,на гистере подтвердилось
Но я честно не помню где именно он был виден, полип был меньшим из зол😃
19.10.2020
Ответить
Виктория Александровна
Это и воздух может быть. Я ж тоже этот вопрос лопатила несколько дней.
19.10.2020
Ответить