Нас нашли!!!)))
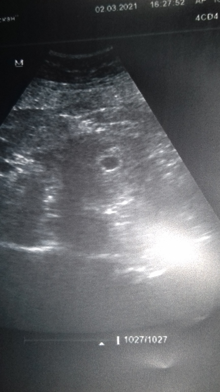
Беременность- 1 триместр ( только до 10 недель)Итак девчонки, сходила я на УЗИ ☺️ Нас нашли... врач сразу как увидела сказала, что видит и эмбриончик и его сердцебиение.. я конечно ниче не понимала, но кружок увидела а матке и в нем малюсенький комочек😁Блин как она мне сказала, что видно сердцебиение, у меня слеза скользнула.. слава богу в маске лежала... Но меня смутило, что она мне срок не 6+3 поставила, а 5 недель где то...🤔хм... последние М были 17.01.... О была 30.01-31.01...... нууу 6+3 же у меня 😒 мы что остаем на неделю???


Anastasia
Ой, как же это здорово!! Зашла, чтоб найти твой пост об УЗИ. Пусть кроха растёт 🙏 лёгкой беременности 🤰
02.03.2021
Ответить
Мария
Блин, как это мило)) и так необычно, осознавать, что в тебе растёт частичка тебя и твоего любимого) и вот у него уже бьется сердечко 🧡
поздравляю!🤗
02.03.2021
Ответить
Prosto_ya
Как классно! У нас прям одинаковый срок. Я все никак до узи не дойду, в выходные тоже пойду 😊
02.03.2021
Ответить
Оставшиеся комментарии доступны после регистрации
Зарегистрируйтесь и получите полный доступ ко всем функциям сайта.


