Может врач не заметить О

Лучший ответ

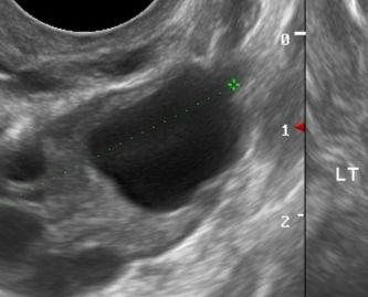
Скорее всего она была сразу после приема. Или через несколько часов, а фолликул уже готовился к ней, поэтому изменил чуть форму и поэтому могла быть уже жидкость. Не знаю как у других, но у меня тест бледнеет сразу же после О. То есть, как только тест побледнел, то О случилась. После этого уже можно подтверждать ее на узи.
04.03.2021
Рита, и у меня так раз было. Побледнел - побежала намущи, сказали только что была О
04.03.2021
Ходила на УЗИ прям в день овули, жт не было, фоллик похож на амебу - только-только произошла. Сильно неровные края, не так как у вас. Вероятно, она произошла прямо после узи
04.03.2021
Юлия *, спасибо, что внесли ясность 🌸
04.03.2021
У вас не могло быть ЖТ в момент приема, потому что ещё фолликул, который вот вот лопнет.
04.03.2021
Alena, спасибо 🌺
04.03.2021
Короче , видимо пипец моему здоровью ( ХГЧ на 24 ДПО