Войти
Мама мальчика (17 лет), планирую беременность Барселона

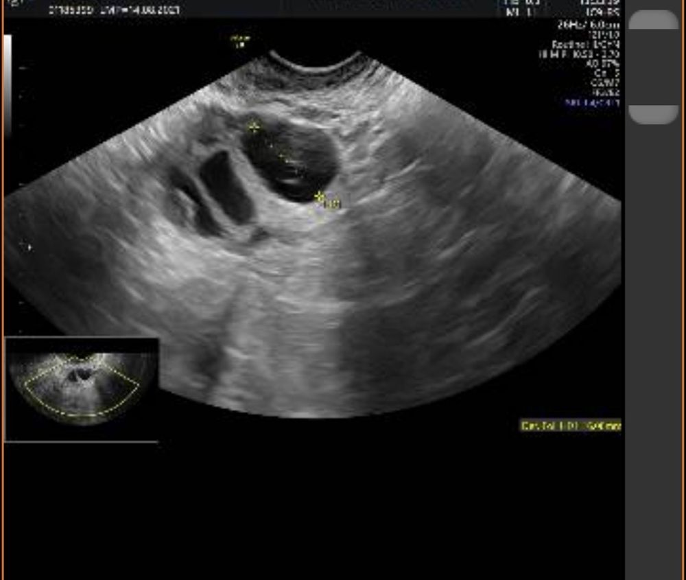
Жт или лютинизация фоликула?

0
8
Мама двоих (10 лет, 3 года), планирую беременность Краснодар
У меня когда ДФ 32 мм лопнул, то ЖТ на следующий день как раз и было 26×19 мм. Блин, ну как это узист не может сказать ЖТ это или нет?🙄
0
03.09.2021
Мама мальчика (22 года), планирую беременность Барселона
Скоро два раза мама!!!))), ну у меня 1 дпо получается 20 мм. У меня лопаются 22-24 мм, на 4 дпо уже 26. Ну я так понимаю жт и лютинизированый фоликул трудно отличить. Надо сразу в день О смотреть. Просто на 1 дпо мне вообще левый врач смотрел.
0
03.09.2021
Мама двоих (10 лет, 3 года), планирую беременность Краснодар
Мила, у меня как-то в цикле стимуляции непонятки тоже были с УЗИ. В итоге пошла на экспертное УЗИ, дороговато конечно чем обычно, но хоть все по полочкам разложили. В итоге было 1 ЖТ, 1 лютеинизировавшийся фолликул и 1 в регресс ушел. По изображению лютеинизировавшийся фолликул и ЖТ очень похожи по мне, но врачи их как-то различают по кровотоку, содержимому и т.д.
0
03.09.2021
Мама мальчика (22 года), планирую беременность Барселона
Скоро два раза мама!!!))), я буду на следующей недели в России в Белгороде вот думаю может сходить, хотя уже будет предположительно 8-9 дпо, может уже и смысла нет. А где хорошо в Белгороде делают и сколько стоит?)
0
03.09.2021
Мама двоих (10 лет, 3 года), планирую беременность Краснодар
Мила, клиника доктора Маханова. Там экспертное делала. А так, в Инвитро хожу.
0
04.09.2021
Мама мальчика (22 года), планирую беременность Барселона
Скоро два раза мама!!!))), спасибо посмотрю где это)
0
04.09.2021
Мама двоих (2 года, 4 месяца) Владивосток
А что про свободную жидкость говорят?есть она?
0
02.09.2021
Мама мальчика (22 года), планирую беременность Барселона
Екатерина , жидкости нет, но сегодня по идее 4 дпо, ее уже и не будет. Но у меня еще не разу за полтора года планирования жидкость не видели и быдо 2 Б за это время.
0
02.09.2021
Фолликулометрия, 14 ДЦ Воспаление яичника или Беременность?

Похожие записи