Мама мальчика (1 год), планирую беременность
Благовещенск (Амурская обл.)
Может ли фолликулярная киста отсрочить овуляцию
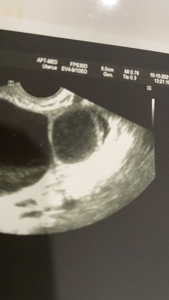
девочки, подскажите , пожалуйста. Впервые за всю жизнь у меня появилась киста таких размеров 5 см( раньше была 2 мм и то 1 раз). Всегда цикл где-то 26 дней, овуляция на 12 день, проводила тесты на 12,13,14 овуляции не было , ну и я потом забила , решила сходить на 26 день цикла проверить была ли овуляция , а нашли кисту, да ещё и не одну! Вторая узисты пока разводят руками и лишь предполагают что это ЖТ. С мужем планируем, вот мне интересно овуляция могла быть попозже из-за этого ? Стоит ли мне питать надежды на беременность, сейчас второй день задержки, но при такой кисте это нормально вроде. Тесты только клиаблю слегка полосатят, но они и так часто реагентят. На фото узи позавчера
Мама девочки (4 года)
Москва
Ну судя по заключению узи, жт нет, а эти ваши кисты - это несовулировавшие фолликулы, которые не лопнули и следовательно овуляции не было. Т.е. не знаю как правильно выразиться - они не отсрочили овуляцию, они и есть ваша несостоявшаяся овуляция. Если бы овуляция была, то было бы жёлтое тело, а его нет
0
12.10.2021
Ответить
Мама двоих (5 лет, 3 года)
Благовещенск (Амурская обл.)
Ирина, ну вот 2 Узиста предполагают ,что поменьше и есть ЖТ, потому что структура сетчатая и овуляция была недавно… как-то так.
0
12.10.2021
Ответить
Мама девочки (4 года)
Москва
Ксюша, ну всё может быть, но обычно на узи жт по-другому выглядит, странно, что узист отличить не может. Думаю, что овуляции и не было и М начнутся в скором времени. Если нет, я бы сходила дня через 4 ещё на фолликулометрию, только лучше к другому специалисту
0
12.10.2021
Ответить
Мама двоих (5 лет, 3 года)
Благовещенск (Амурская обл.)
Ирина, я к двум специалистам ходила , которые сказали мне одинаковые слова!
0
12.10.2021
Ответить
Мама двоих (5 лет, 3 года)
Благовещенск (Амурская обл.)
Ирина, я буду рада любому исходу событий 😂я уже жду месячных как никогда, потому что мечтаю, чтобы они быстрее рассосались , чтобы нормально заниматься спортом!но эти узисты и врачи говорят, что даже Б исключить нельзя, и даже врач сказала, что это похоже на ЖТ…. Вблизи на фото чуть другая структура там
0
12.10.2021
Ответить
Мама двоих (5 лет, 3 года)
Благовещенск (Амурская обл.)
Ирина, подскажите, даже приближённее не похоже на ЖТ
0
13.10.2021
Ответить
Мама девочки (4 года)
Москва
Ксюша, как по мне - они идентичны у вас на фото и это оба фолликулы, фолликул на узи имеет чёткие границы и внутри как бы чёрное пространство. 5 лет стажа планирования и моя любимая узистка мне показывала и рассказывала как и что)) у меня качество не такое хорошее, но вот на одном фото фолликул 13 мм и жёлтое тело 17мм, жёлтое тело совсем другой консистенции
0
13.10.2021
Ответить
Мама девочки (3 года)
Нижний Новгород
Ирина, Ирина а может быть такое что в одном яичнике произошла овуляция а в другом не дорос ДФ и в кисту образовался ?
0
14.03.2022
Ответить
планирую беременность
Саранск
Фоликулярная киста ,это не лопнувший дф,так что овуляции ждать нет смысла
0
12.10.2021
Ответить
Мама двоих (5 лет, 3 года)
Благовещенск (Амурская обл.)
Наталья Пахомова, насколько я знаю , что он может быть с предыдущего раза , а овуляция в этом яичнике будет
0
12.10.2021
Ответить