Войти

Кто разбирается в снимках?

0
36
Мама двоих (17 лет, 3 года) Санкт-Петербург
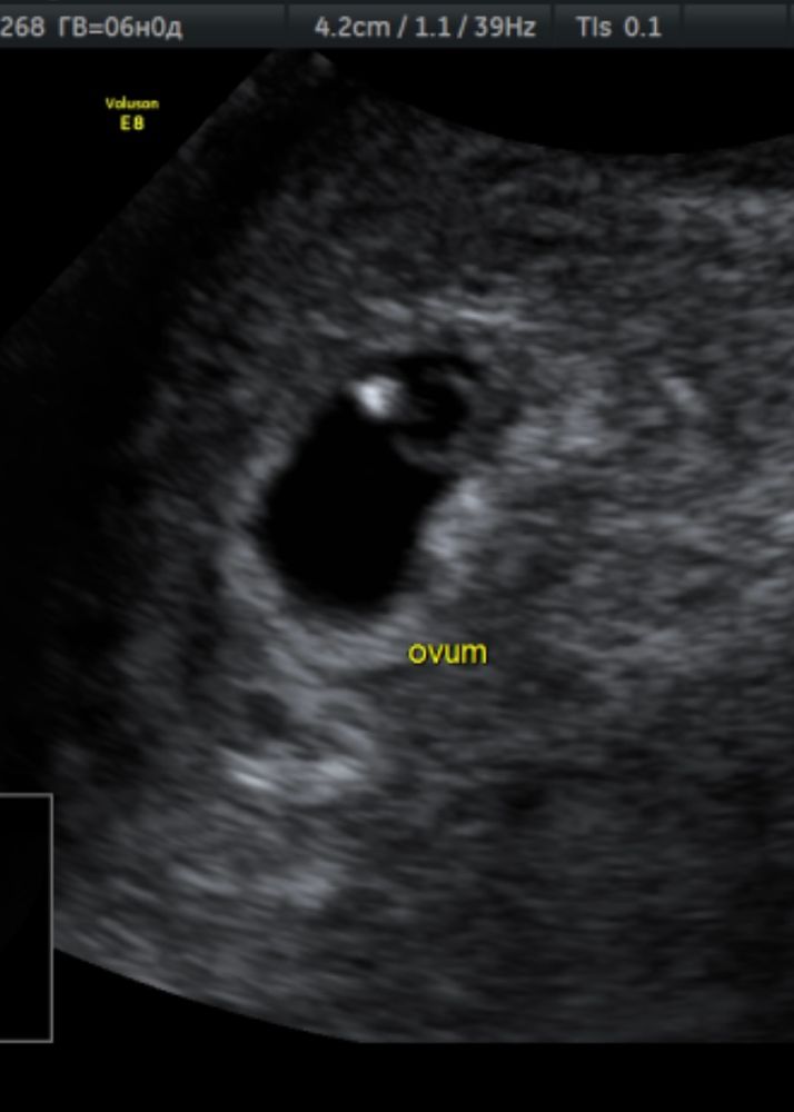
Как по мне похож на эмбрион тот шарик что слева. Вот мое узи на 5-6 неделе Изображение
0
04.05.2022
Мама двоих (3 года, 1 год) Москва
Маша, у вас хорошо видно
0
04.05.2022
Мама двоих (17 лет, 3 года) Санкт-Петербург
bravo gun, сходите на узи через 1-2 недельки уже будет видно и сердечко🤞🏻🙏🏻
0
04.05.2022
Новосибирск
Маша, у вас желточный мешочек слева, а не эмбрион
0
04.05.2022
Мама двоих (3 года, 1 год) Москва
aleksandra, а на моем узи что?
0
04.05.2022
Мама двоих (17 лет, 3 года) Санкт-Петербург
aleksandra, точно он, уже запамятовала 😆 как будто это было очень давно
0
04.05.2022
Мама троих (19 лет, 12 лет, 3 года) Воронеж
На вашем снимке качество не очень. Вот вам для сравнения белая точечка это эмбрион, ктр тут 2,4 мм, а прозрачный кружок рядом, это жм Изображение
0
04.05.2022
Мама двоих (3 года, 1 год) Москва
Наталья Иванова, ну у вас видно, а у меня не знаю даже, девочки пишут что только плодное яйцо, но мне сказали ещё эмбрион есть
0
04.05.2022
Мама троих (19 лет, 12 лет, 3 года) Воронеж
bravo gun, даже если у вас пока только плодное яйцо, это нормально на 23 дпо, я эмбриончик пошла смотреть ровно в 4 недели эмбриональные уже с сердцебиением, на данном этапе у вас всё отлично, через 1-2 недельки повторите узи, и уже будет видно и эмбриончик и сердцебиение 💓
0
04.05.2022
Мама двоих (3 года, 1 год) Москва
Наталья Иванова, ну это да, просто интересно почему мне сказали что есть эмбрион-2,5мм😬
0
04.05.2022
Мама троих (19 лет, 12 лет, 3 года) Воронеж
bravo gun, не знаю, может узист не грамотный, мне очень много таких попадалось, даже беременность видели там, где её не было 😬 Уже на протяжении 2-х лет хожу к одной и той же узистке, нашла свою наконец-то.
0
04.05.2022
Мама троих (14 лет, 6 лет, 11 месяцев) Москва
Аппарат узи какой то... Точнее, качество снимка не ахти. Если придраться, то по мне вооооон там жм, но для эмбриона рановато мне тоже кажется.
0
04.05.2022
Мама двоих (3 года, 1 год) Москва
Жанна, да сказали ЖМ-2.2мм, но сказали ещё КТР -2.5мм
0
04.05.2022
Мама троих (14 лет, 6 лет, 11 месяцев) Москва
bravo gun, может, тогда не 23дпо? Может, раньше была О?
0
04.05.2022
Мама двоих (3 года, 1 год) Москва
Жанна, точный день овуляции знаю по узи и по уколу хгч
0
04.05.2022
Мама троих (14 лет, 6 лет, 11 месяцев) Москва
bravo gun, тогда фиг знает, но поздравляю 🎉
0
04.05.2022
Мама мальчика (17 лет) Пермь
Ходила на таком же сроке и УЗИ картинка была один в один, сказали все на месте, только маленькие мы ещё очень, повторное УЗИ назначили через 2 недели. Поэтому девочки часто и пишут, что раньше 7 недель нечего на УЗИ делать, но это не про нас, я бы с ума сошла. И сейчас для меня эти две недели тянутся жутко 😊 ещё 9 дней и увижу малыша🙏 а сейчас добрая тётя доктор терапевт посадила меня на больничный, пожалела меня токсикозную даму😊 Поэтому не переживайте все там есть, просто рано 😊
0
04.05.2022
Мама двоих (3 года, 1 год) Москва
Анастасия, вам тоже сказали что есть эмбрион на таком сроке?
0
04.05.2022
Мама мальчика (17 лет) Пермь
bravo gun, да😊
0
04.05.2022
Новосибирск
Мне на 32 дпо Ктр поставили 5.5, поэтому думаю могли увидеть, если ХГЧ более 20000
0
04.05.2022
Мама двоих (3 года, 1 год) Москва
aleksandra, точно не будет 20 тысяча, но написали что КТР-2.5мм и желточный мешок-2.2мм
0
04.05.2022
Новосибирск
bravo gun, фото ужасное если честно,снизу на фото прям видно хорошо желточный,он прям ровненькие такой,края горят. Ну по УЗИ ведь в матке? Да! Желточный видно? Да, так чего переживаете то)) увидела или не увидела эмбрион, все будет)) нет поводов паниковать
0
04.05.2022
Мама двоих (3 года, 1 год) Москва
aleksandra, получается у меня видно на узи желточный мешок?
0
04.05.2022
Новосибирск
Изображение Это 6 недель и 4 дня, эмбрион bravo gun, вот моё УЗИ 4 недели и 6 дней, пя 7 мм про желточный не слова,но его видно на УЗИ, фото кстати тоже фиговое Изображение
0
04.05.2022
Мама мальчика (3 года) Москва
Эмбрион (и сердцебиение) обычно после 6 недель могут увидеть Я пойду в 7 недель Пока тоже только плодное яйцо
0
04.05.2022
Мама двоих (3 года, 1 год) Москва
Anastasia , мне узист сказал что есть эмбрион,но здесь читаю что рано увидеть на таком сроке
0
04.05.2022
Мама мальчика (3 года) Москва
bravo gun, я, честно говоря, не вижу на вашем снимке эмбрион - только ПЯ Но я и не врач)
0
04.05.2022
Мама девочки (5 лет) Ростов-на-Дону
Пока не вижу..
0
04.05.2022
Мама двоих (3 года, 1 год) Москва
Даша, мне просто сказали,что есть эмбрион
0
04.05.2022
Мама девочки (5 лет) Ростов-на-Дону
bravo gun, ну, какая-то полосочка есть в плодном яйце. Может, это оно?
0
04.05.2022
Мама двоих (3 года, 1 год) Москва
Даша, не знаю даже,просто читаю что для эмбриона рано
0
04.05.2022
Мама девочки (5 лет) Ростов-на-Дону
bravo gun, в следующий раз сходите к другому узисту в 7 недель)
0
04.05.2022
Мама двоих (8 лет, 3 года) Болград
Беременность маточная, в матке плодное яйцо. Эмбриона ещё не видно не знаю как они его намеряли , и рано ещё для эмбриона так как поздняя была О
0
04.05.2022
Мама двоих (3 года, 1 год) Москва
Яна , а что там видно? Желточный мешок?
0
04.05.2022
Самара
А у вас по календарю получается какая неделя?
0
04.05.2022
Мама мальчика (1 месяц) Москва
Я тут вижу только плодное яйцо.
0
04.05.2022
Беременна или нет? беременность или нет?

Похожие записи