Есть беременность?
ФолликулометрияВсем привет ))
У меня сегодня 38 день цикла
Задержки бывают,но не такие
Последний день менструации был 2 июня (на 26 день цикла)
Тест делала 8 июля и сегодня отрицательный
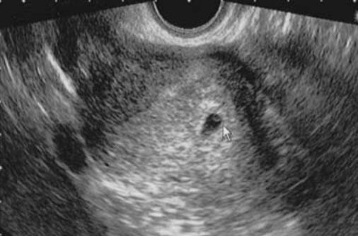
Сегодня сходила на узи (врач узист сказала что это или жидкость перед месечными или б)
Отправила своему гинекологу фото и протокол с узи сказала больше похоже на беременность
Надо делать хгч
Скажите пожалуйста своим взглядом возможна ли это беременность 🙏🏻
Может у кого было так,что тесты отрицательные а б произошла ?
Заранее огромное спасибо
Лучший ответ
Смородинка
А про жёлтое тело ничего.. если это беременность, то должно быть жт..
10.07.2022
Ответить
Татьяна
Саша Жураp, желтое тело в любом случае бывает после овуляции. Без него никак. Неважно ставят б или нет, у вас его нет. Возможно ановуляторный цикл, поэтому такая задержка, цикл сбился. Ждите м
10.07.2022
Ответить
lova
KUZOVOk, возможно оно уже регрессировало просто, поэтому сведений о нем нет. А так да, жт во второй фазе цикла быть обязано, а при беременности тем более) так что дело скорее к М
10.07.2022
Ответить
Саша Жураp
angelova ,
Это узи моей второй беременности)
и тут так же не знали есть ли беременность 🤷🏼♀️
уже 2 года бегает 😜
Это узи моей второй беременности)
и тут так же не знали есть ли беременность 🤷🏼♀️
уже 2 года бегает 😜
10.07.2022
Ответить
Святая инквизиция
Если тесты отрицательные откуда беременность? Если такая Б что видно аж на узи, то тесты должны гореть прям. По узи у вас нет желтого тела, это «железа» которая поддерживает беременность, если она состоялась. Задержка приличная, но это не беременность, к сожалению. Ждите м
11.07.2022
Ответить
Саша Жураp
Karmilla, по узи врач не видит приближения месячных 🤷🏼♀️
про тесты поспорила бы ) у меня 2-е детей
и со второй дочкой тесты и хгч долго не показывали )и вот вам пример
сегодня приехала моя врач посмотрела меня и сказала что исключить беременность она не может т.к за 2 дня точка стала больше была 1.8 мм стала 2.4 мм
так что через 5 дней будет все точно понятно
12.07.2022
Ответить
Святая инквизиция
Саша Жураp, анализ хгч сдайте и все будет ясно) кровь не соврёт
12.07.2022
Ответить
Саша Жураp
Karmilla, вот в субботу назначили повторный хгч и к врачу,врач больше склоняется к беременности🤷🏼♀️ Т.к по узи не видно что в скором времени ожидание м
13.07.2022
Ответить
Анастасия
Ну по узи мб и Б , а может и нет (странно что жт нет).
Тут только хгч решит вопрос)
10.07.2022
Ответить
Любовь
У меня миому так обнаружили с 0 хгч.
отправили на кт
Вам желаю здоровья и беременности
10.07.2022
Ответить
Саша Жураp
Elizaveta, а все тесты отрицательные? Такое возможно?🧐
врач сказала через дня 3-5 хгч
10.07.2022
Ответить
Жанна
Саша Жураp, зачем через 5 дней? Есди видно плодное яйцо, то хгч 1000+ уже.
Но у меня такое было уже, задержка была 10 дней, тесты /
Врач сказала скорее всего начинаются мес. Через 4 часа пошли.
10.07.2022
Ответить
Саша Жураp
Жанна, ну потому что есть вероятность что это не б,не спешить ) а то так всегда идёшь сдавать и вот они месячные 🩸 у меня задержка уже 13 дней… а вы узи делали ?
10.07.2022
Ответить
Жанна
Саша Жураp, да, по узи и был такой кругляш тоже. Но, честно, не верю в плодное яйцо и отрицательные тесты((( извините.
10.07.2022
Ответить