Что видите?

Ну похоже, что у вас в одном зреет доминантный фолликул, а в другом киста желтого тела, а с эндометрием что? Какой он толщины? Какой день цикла? В правом очень уж большое образование, поэтому она и предположила кисту под вопросом. Вводных данных очень мало, врач не смотрит только по размеру образований в яичнике, важен размер эндометрия еще и наличие или отсутствие жидкости, тогда можно понять, что на картинке. А так пальцем в небо. Полностью прикладывайте весь результат узи на будущее
02.06.2023
Виктория, эндометрий 8 мм, но за три дня до этого Узи был 10-11мм. День цикла тут 27, но у меня он не стабильный, + я сейчас на дюфе, и овуляция пришла на 8 день приема этих таблеток и на 24 дц. Все очень загадочно дня меня)
02.06.2023
Это фолликула
02.06.2023
Шанс получить двойню.
02.06.2023
Светик, А можете объяснить почему?) Не сильно разбираюсь в этом 😔
02.06.2023
Алена , если у Вас в обоих яичниках жёлтое тело, значит в один цикл вышли две яйцеклетки.
02.06.2023
Светик, я конечно после последнего приема разочаровалась в компетенции своего врача, еще и по другим причинам(больше к ней не иду) но теперь еще в шоке. Она вообще не сказал ничего про левый яичник, что в нем тоже была овуляция 😵‍💫
02.06.2023
Жёлтое тело
02.06.2023
Mira, есть результаты УЗИ?
02.06.2023
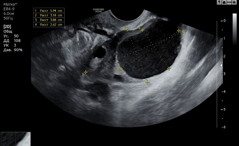
Mira, есть, это левый яичник, есть еще один снимок правого яичника(прикреплю) вот в нем сказали киста желтого тела 🫠 Изображение
02.06.2023
Алена , то в нем что пишут? Что в левом? Просто читайте)
02.06.2023
Mira, а вот собственно что пишут) Изображение
02.06.2023
Mira, получается два желтых тела в двух яичниках?)
02.06.2023
Алена , нет совсем. Киста-это то,что могло остаться ещё с прошлого-позапрошлого цикла. Но она могла появиться и в этом месяц.
02.06.2023
Mira, Появилась в этом цикле, буквально на зри дня, сразу после овуляции)
02.06.2023
Толстый эндометрий Узи 13 дц. Кто может что сказать