Войти
Мама мальчика (1 год) Воронеж

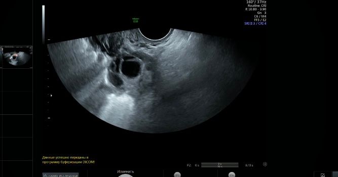
Фолликул или жёлтое тело?

0
15
Мама двоих (1 год, 3 месяца) Хив
Да , такие кровотоки у желтого тела
0
06.09.2023
Мама мальчика (4 года) Воронеж
Все будет , спасибо 🙏🏼 просто показалось что очень похоже на дф, в прошлые разы у меня ЖТ было непонятно какой формы 😄
0
06.09.2023
KRIS, зайдите ко мне в дневник у меня киста жт тоже была круглой😂
0
06.09.2023
Мама мальчика (4 года) Воронеж
Кулакова Александра, посмотрела! Ещё запись про бт понравилась 😂 у меня такая же ситуация)
0
06.09.2023
KRIS, опана) Ну я сегодня сдала прогестрон и этрадиол посмотрим,что с ними😁
0
06.09.2023
Мама мальчика (4 года) Воронеж
Кулакова Александра, извиняюсь за глупый вопрос, просто я в этом плане вообще не разбираюсь 😄 Если киста ЖТ - это прям плохо? Значит овуляция какая-то не такая была?
0
06.09.2023
KRIS, это нормально,но если киста после укола хгч может указывать на то что не правильно померили фолликул 🙈
0
06.09.2023
Мама мальчика (4 года) Воронеж
Кулакова Александра, ох, ну буду надеяться что это всё таки ЖТ моё и мои ощущения меня подвели 😂
0
06.09.2023
KRIS, 🫣❤️🤰🏽 желаю вам //
0
06.09.2023
Мама мальчика (4 года) Воронеж
Кулакова Александра, спасибо, взаимно 🤍
0
06.09.2023
KRIS, ☀️🤰🏽❤️
0
06.09.2023
Мама мальчика (2 года), планирую беременность Самара
По кровотоку ЖТ. У меня узистка перепутала ЖТ и ДФ 🤦‍♀️, цикл оказался пролётным, кровоток был совершенно другой, а у вас отличный 👍
0
06.09.2023
Мама мальчика (4 года) Воронеж
Дарья, вот я и переживаю, что если она перепутала, то цикл тоже пролётный будет) просто вчера у меня были выделения как в овуляцию и потом боли внизу живота, как обычно это и происходит я по этому очень и удивилась, когда она мне сказала что овуляция была😄 Как так, впервые я её не заметила)
0
06.09.2023
Мама мальчика (2 года), планирую беременность Самара
KRIS, нет, тут кровоток именно ЖТ, доверьтесь всё-таки узи, а не ощущениям)
0
06.09.2023
Мама мальчика (4 года) Воронеж
Дарья, это просто замечательно! 😄 Хорошо, буду доверять узи))
0
06.09.2023
Фсг и лг в последние дни цикла 37+2 нед 💙

Похожие записи