жду мальчика, 8 неделя
Москва
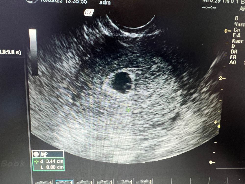
УЗИ 5 недель 5 дней
ПЯ 10мм, ЖМ 3,1 мм, ЖТ 13,5мм
эмбриончика пока не увидели. Только желточный мешочек. Врач сказала что пока рано, это так?
По узи размеры плодного яйца где то на 5 недель, но врач сказала это не показатель. Сказала через 1.5 недели теперь прийти )) вот такие дела
Мама троих (12 лет, 9 лет, 2 года)
Москва
А я вот сижу ,жду узи как раз в клинике. У меня 4 нед и 4 дня. Ппц теперь переживаю что не найдут ничего....хотя хгч уже больше 2000
0
13.09.2023
Ответить
Мама мальчика (2 года), беременна, 19 неделя
Москва
Капуста, у меня хгч больше 7000, но врач сказала все равно срок маленький для эмбриона, ему еще дня два надо, и то сложно будет разглядеть
0
13.09.2023
Ответить
Мама мальчика (2 года), беременна, 19 неделя
Москва
Капуста, сейчас главное было убедиться что беременность маточная
0
13.09.2023
Ответить
Мама троих (5 лет, 5 лет, 1 год)
Нижний Новгород
Капуста, можно было еще подождать вам 🙏🏼будет мешочек только 🙏🏼
0
13.09.2023
Ответить
Мама девочки (1 год)
Минск
Рановато, эмбрион появится через несколько дней. Через 10 дней сходите чтобы точно увидеть.
0
13.09.2023
Ответить
Мама мальчика (2 года), беременна, 19 неделя
Москва
Смородинка, ну да, где то так и пойду
0
13.09.2023
Ответить
планирую беременность
Новато
Поздравляю 🧡 У меня ровно в 5 недель нашли, а эмбриончик с 6 недель и позже находят)
0
16.09.2023
Ответить
Мама мальчика (2 года), беременна, 19 неделя
Москва
Alexandra Sienkiewicz, спасибо! Я пойду теперь в 7 недель 2 дня
0
17.09.2023
Ответить
Казань
У меня очень похожий результат , не нашли еще эмбриона , по акушерскому 5 недель . Страшнооооо
0
20.07.2025
Ответить
Мама троих (5 лет, 5 лет, 1 год)
Нижний Новгород
Рано да ) попозже увидишь малышка )
0
13.09.2023
Ответить
Мама двоих (2 года, 26 дней)
Красноярск
Конечно еще рано, по позже нужно идти
0
13.09.2023
Ответить