Войти

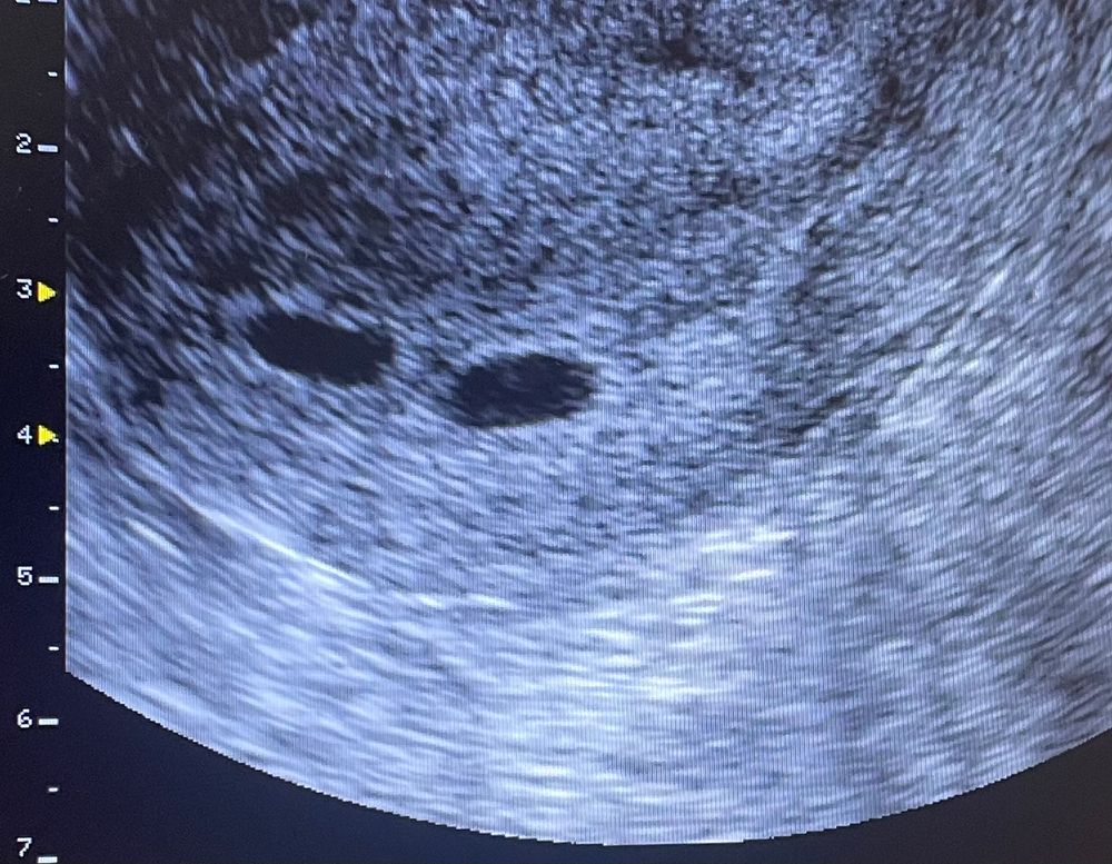
Результат узи

0
19

Лучший ответ

Мама девочки (2 года) Уфа
Поздравляю вас !!! У меня хгч был 15700 на 6 день задержки тоже двойня) но к сожалению один малыш позже замер
0
08.11.2023
планирую беременность Самара
Ooo, сожалению 😔 надеюсь со вторым малышом все хорошо? Здоровья Вам ❤️
0
08.11.2023
Мама девочки (2 года) Уфа
Валентина, да 🙏🏻 спасибо
0
09.11.2023
Мама троих (17 лет, 2 года, 6 месяцев) Балашиха
Поздравляю вас) У меня на таком же сроке тоже ЖМ не увидели, на сроке 6+4 уже всё было)
0
08.11.2023
планирую беременность Самара
Алёна Хаустова, надеюсь через неделю все видно будет, иначе не смогу жить спокойно 🥲
0
08.11.2023
Мама двоих (14 лет, 1 год)
добро пожаловать в наш клуб))) сама неделю назад то же самое услышала и увидела на узи. вот, в пятницу иду на контроль.
0
08.11.2023
планирую беременность Самара
ириска, моя Ре была счастливей меня. Я в шоке на кресле лежала 🤣 Удачи Вам ❤️
0
08.11.2023
Мама девочки (1 год), планирую беременность Санкт-Петербург
По такой схеме стимулировались?)))
0
08.11.2023
планирую беременность Самара
Виктория , летрозол 5 мг - 5 дней, начиная с 5 дня м.ц. Начиная с 10 дня цикла контроль на узи: фолликулометрия. На 14 д.цикла фолликул дорос и сделала укол хгч 10.000. Овуляция была на 16 д.ц. (подтвердили на узи) Половой акт до О и в день О. После утрожестан 100мг утром и вечером.
0
08.11.2023
Мама девочки (1 год), планирую беременность Санкт-Петербург
Валентина, интересно почему одним назначают схему с 3 дц, а другим с 5. У меня вот с 3 по 7 дц был прием летрозола
0
09.11.2023
планирую беременность Самара
Виктория , как мне сказала Ре, можно позже 5 д.ц, но не раньше. типа нужно делать узи на 5-й день (когда уже М заканчиваются) и смотреть, чтоб все норм было, тогда можно начинать стимуляцию
0
09.11.2023
Уфа
Ух тыыыы😍вот это стимуляция, так стимуляция
0
08.11.2023
планирую беременность Уфа
Ух ты! Вот это результат). Я сегодня начинаю "Лорету" пить🙏. А Вы у какого врача наблюдаетесь?
0
12.11.2023
Мама мальчика (14 лет) Воркута
Ух ты, поздравляю!!!! В правом ПЯ я уже вижу ЖМ)
0
08.11.2023
Мама девочки (1 год), планирую беременность Санкт-Петербург
Поздравляю Вас!!!!🌹🌹🌹
0
08.11.2023
планирую беременность Самара
Виктория , благодарю 🙏
0
08.11.2023
Мама девочки (2 года) Екатеринбург
Поздравляю! Это двойное счастье!!! 🎉🥳
0
08.11.2023
планирую беременность Москва
Поздравляю!Вы счастливая мама)
0
08.11.2023
планирую беременность Москва
Классные новости!! Поздравляю 😻
0
09.11.2023
Низкий гемоглобин 😣 Рост ХГЧ по ДПО + тесты

Похожие записи