Воронеж
УЗИ , была ли овуляция
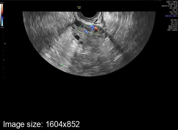
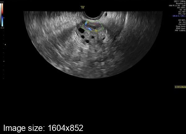
Пришла к врачу узисту , она говорит что овуляция была , но у меня раньше таких маленьких жт не было , кто разбирается подскажите
планирую беременность
Воронеж
Визуально - Очень слабый кровоток в жт. Обычно вокруг жт яркое пламя. А размер жт не имеет принципиального значения.
Объективно - по индексу резистентности.В сосудах нормального желтого тела снижение ИР в среднем до 0,44 происходит на 2 день после овуляции. И это значение не меняется в течение первых 5 дней второй фазы.
За неделю до месячных ИР повышаеся в среднем до 0,47 и затем постепенно увеличивается в среднем до 0,53 к концу менструального цикла.
Далее. Очень тонкий эндометрий .
Скорее всего, не было полноценной овуляции. Чтобы ответить точно сдаётся за неделю до месячных прогестерон и эстрадиол.
0
03.02.2024
Ответить
планирую беременность
Ростов-на-Дону
Вам врач должен сказать был. Была овуляция или нет
0
05.02.2024
Ответить
планирую беременность
Нижний Новгород
Если на ошибаюсь жт может от 11 мм быть и это норма., может кто лучше знает поправит меня
0
03.02.2024
Ответить