Не нашли плодное яйцо при хгч 2900

Лучший ответ

Ну, было бы удивительно, если бы в 4 акушерские недели увидели бы)) Это ж недели 2 от зачатия. И примерно всего одна неделя от прикрепления плодного яйца к матке. Недели через 2-3 переделайте УЗИ. Ну и в другом месте на всякий случай. Чего всех тянет-то на УЗИ быстрее после положительного теста так рано?) Там не увидят ничего. В худшем случае ещё и напугают страстями всякими, если и врачи безграмотные.
15.02.2024
Лера Иванова СК, думаете при таком хгч могут не увидеть ?
15.02.2024
Лера Иванова СК, вчера кровило поэтому пошла
15.02.2024
Ирина Богданова, могут и не увидеть, срок мизерный для того, чтобы аппарат УЗИ увидел. Кровит - не оч хорошо. Дождитесь 2 недели и повторите УЗИ, если не увидят - лучше в паре мест хотя бы сделать УЗИ. А шейка как? Закрыта? Длина какая? У меня кровило в 6 недель. Плодное яйцо было меньше срока. Ну, я уже чувствовала изначально, что что-то не так. Итог - замершая анэмбриония. Но тогда рано было делать выводы, я села на утрожестан, он прирастил яйцо. Организм уже понял, что всё... беременность мёртвая... Но выводы было делать рано. В 10 недель пошла ещё раз на УЗИ. Абсолютно пустое выросшее плодное яйцо. Отменила утрожестан, через 14 дней выкидыш сам произошёл. Но из-за утрожестана не полностью вышло само. Дочищалась вакуумом. В след. беременность тоже то и дело кровило, но почему - так никто и не выяснил. В итоге с 19 недель утрожестан. На всякий случай. Был момент, когда шейка по УЗИ короткая была, 24 мм, но там непонятно, врач ошибся или нет... 2 раза утрожестан успела поставить и переделала УЗИ в больнице через сутки, шейка 29. Была ли короткая или нет реально - не знаю, но живот тянуть перестало на утрожестане. Тянуло в сутки почти постоянно. Сейчас норм всё.
15.02.2024
Лера Иванова СК, шейка закрыта
15.02.2024
Ирина Богданова, думаю, пока не паниковать. Переделать УЗИ просто позже. Я бы, правда, села на утрожестан, так как выкидыши бывают и не из-за замерших, а по другим причинам, которые выяснять бесплатно станут только после 3 выкидышей подряд, не раньше. Когда у меня кровило при замершей, шейка была тоже закрыта ещё. Но, тем не менее, это был начавшийся выкидыш. Который утрожестан остановил. Самое главное, внематочную исключить через пару недель. При ней тоже кровит. ХГЧ вообще так себе показатель, кстати, чтобы ориентироваться на него и при замершей, и при внематочной.
15.02.2024
Лера Иванова СК, я принимаю дюфастон ,уже не кровит ,ещё утром были коричневые выделения совсем чуть чуть но теперь все закончилось
15.02.2024
Лера Иванова СК, внематочную она исключила сказала трубы чистые
15.02.2024
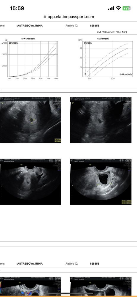
Есть же плодное яйцо: gs rempen это оно. Соответствует сроку. Всё ок.
16.02.2024
Аня, спасибо ,девочки уже расшифровали 🥹
16.02.2024
Ну, в общем, как сказать. Идите на другой аппарат, у меня так внематочная начиналась. Болит ли где-то? Тоже не видно, пошла, потому что мазало, но сначала и в трубах ничего не увидели. А потом я пришла в другую клинику, в см клинику, первый вопрос врача был: «с чего вы взяли, что вы беременна, это, наверное, просто месячные» 🤡 через 2 дня была операция. С таким хгч где-нибудь, да долдны уже увидеть. Надеюсь, у вас все будет ок, просто узист плохой или аппарат говно
15.02.2024
Abelmaria,ничего не болит ,темная кровь была потом вышел кусочек думала гематома и всё прекратилось ,сдала хгч растет хорошо.Завтра ещё хгч сдам ,через неделю на узи .Думала может кто то разбирается потому что врач сначала нашла домик ,потом сказала может это жидкость ,нашла желтое тело справа но беременность не увидела
15.02.2024
Abelmaria, оказывается есть плодное яйцо наверно из за разных языков не поняли друг друга 🤦🏾‍♀️
15.02.2024
Ирина Богданова, тогда я Вас поздравляю!)) Но вот кровит... Следите за этим. Я так поняла, Вы не из России. Я не знаю, сохраняют ли у Вас на таком сроке. Но утрожестан бы не помешал в небольших дозах. Да, оно может кровить и всё будет в итоге норм. А может быть и выкидыш живым малышом...(((
15.02.2024
Лера Иванова СК, уже не кровит только один день было,сегодня весь день ничего нет все хорошо я принимаю дюф
15.02.2024
Лера Иванова СК, спасибо 🙏🏼
15.02.2024
Ну тут написано, что 0,66 см плодное яйцо, что соответствует 5 неделям и 3 дням
15.02.2024
Ольга, правда?🤯
15.02.2024
Ирина Богданова, ну тут так написано! А как говорит мой любимый узист, кандидат наук и много чего еще… когда я несу ему фотки узи, «сделанных на стороне», что если он захочет, можно получить изображение простаты при просмотре матки🤪… думаю грубо сказано, но суть понятна) сходите на узи в другое учреждение
15.02.2024
Ирина Богданова, и как я поняла ЖТ на правом яичнике
15.02.2024
Ольга, да желтое тело на правом я ,вы абсолютно правы ,спасибо я даже не прочитала запаниковала
15.02.2024
Точно не помню показатель хгч при котором видно, но точно не 1000, мне увидели только после 7 недели, до этого ничего
15.02.2024
Анастасия, ох спасибо ,только напугали
15.02.2024
Ирина Богданова, все будет хорошо, Вы бдите в любом случае, но уверена, что сейчас просто очень рано, дайте малютке подрасти немного ))))
15.02.2024
Написано "предположительно плодное яйцо или свободная жидкость". Я бы переделала, может, узист такой.
16.02.2024
Екатерина Галдина, переделаю 21 февраля к другому записалась
16.02.2024
У меня в 5 ак недель было ПЯ 5,7 мм. Ранее я не ходила. Сходите в 5. Если ничего не болит не мажет, то всё окей, ещё срок маленький.
15.02.2024
Просто Катя, вчера мазало поэтому пошла ,но сегодня все хорошо и хгч вырос
15.02.2024
Ирина Богданова, кровь прям была?
15.02.2024
Рано если 4 акушерские недели, у меня только в 5,5 увидели, до этого ничего
15.02.2024
Валюшка Панкова, просто смущает что все пишут мол после 1000 хгч уже видно 😥
15.02.2024
Ирина Богданова, зависит еще от аппарата узи. Я ходила в 4 недели , тоже ничего не увидели. Сказали придти через 1,5 недели , пришла , а там уже и плодное и ктр и сб+
15.02.2024
Валюшка Панкова, спасибо 🙏🏼 за ответ
15.02.2024
Реагент ?? Эти переживания …