babyblog Поиск
Войти
Войти
Зарегистрироваться
Сообщества Зачатие Беременность Всё о детях Не только мама Полезные статьи
Техническая поддержка Реклама на сайте
  • Сообщества
  • Зачатие
  • Беременность
  • Всё о детях
  • Не только мама
  • Полезные статьи
Техническая поддержка Реклама на сайте
Джулия в Зачатие 2 года

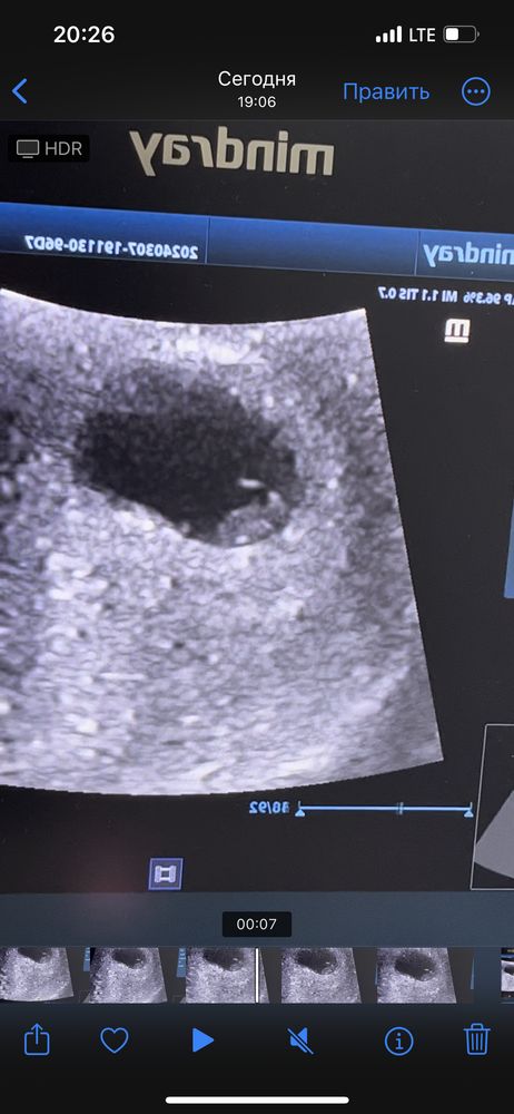
7 недель 2 дня

Беременность- 1 триместр ( только до 10 недель)

Ктр 9,9 мм

ЧСС 157

Изображение

❤️

Посмотрите еще 20 записей на эту тему
Замедлился рост хгч Норма или нет?
Чаты Беременных
Выберите чат:
Январята-2026 Февралята-2026 Мартята-2026 Апрелята-2026 Майчата-2026 Июнята-2026 Июлята-2026 Августята-2026
О проекте Реклама на сайте Соглашение с пользователями Правообладателям Помощь Техническая поддержка
Отзывы о роддомах Графики базальной температуры Врачи Календарь беременности Темы

Бэбиблог — сайт о беременности и материнстве. Дневники беременности и развития детей, календарь беременности, отзывы о товарах, роддома, а также множество других полезных разделов и сервисов. © 2005 — 2025

16+

innovation skolkovo