Войти

Какая фаза по узи?

0
32

Лучший ответ

беременна, 25 неделя Калининград
Повышенная эхогенность у эндометрия наблюдается во вторую фазу, а фото нет?
0
27.01.2025
Москва
Аня, Изображение Изображение Изображение
0
27.01.2025
беременна, 25 неделя Калининград
Светлана , вот смотрите первая и вторая фаза, мне кажется у вас не было овуляции и эндометрий на 1 фазу, т.к. видно линию смыкания, но я не узист конечно, просто уже за кучу узи у себя различаю Изображение Изображение
0
27.01.2025
Москва
Аня, спасибо, значит могу считать что это месячные были, может эндометрий в прошлом цикле тонкий был то что такие скудные)) просто напугало что повышенной эхогенности, до этого она обычно писала по другому, ниже с позапрошлого цикла фолликулометрия... А из за чего эхогенность повышенная может быть? Я просто сейчас болею сильно, пью антибиотик, может из-за этого? Гормональное ни чего не пью
0
27.01.2025
беременна, 25 неделя Калининград
Светлана , неоднородность и повышенная эхогенность может и изза хронического эндометрита быть, например. Надо это с врачем обсуждать и смотреть в следующем цикле как будет
0
27.01.2025
Москва
Аня, вот сколько делаю узи, впервые что бы после месячных так было... (
0
27.01.2025
Москва
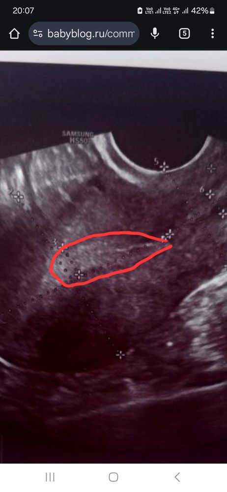
Аня, вот это как я понимаю эндометрий или нет? Изображение
0
27.01.2025
беременна, 25 неделя Калининград
Светлана , вот у вас эндометрий, слева это ближе ко дну матки, а справа к шейке Изображение
0
27.01.2025
Москва
Аня, вот я нашла снимки с позапрошлого цикла в начале и в конце, вот мне интересно что вот это Изображение Изображение
0
27.01.2025
беременна, 25 неделя Калининград
Светлана , к сожалению, не знаю(
0
27.01.2025
Москва
Аня, спасибо, я тоже сразу не спросила но думаю на следующий прием взять снимок и спросить
0
27.01.2025
Москва
Аня, спасибо вам большое 🌹
0
27.01.2025
беременна, 25 неделя Калининград
Светлана , пожалуйста)
0
27.01.2025
Астрахань
Шаровидная матка это признак эндометриоза
0
27.01.2025
Москва
Татьяна, а что это, просто в позапрошлом цикле она писала немного другое Изображение
0
27.01.2025
Астрахань
Светлана , вообще форма должна быть либо овоидная, либо грушевидная, а эндометриоз это очень гадкая штука.. у вас менструации обильные, со сгустками? болезненные?
0
27.01.2025
Москва
Татьяна, не, обычно без сгустков но есть маленькие точечки, не рассматривала пристально, дляться около 5 дней, в этот раз мазоло только 2.5 дня
0
27.01.2025
Астрахань
Светлана , тогда тем более странно, почему вдруг написали что шаровидная матка 🤦🏻‍♀️ в общем вам бы к другому узисту сходить, и туда где более развернуто делают заключение
0
27.01.2025
Москва
Татьяна, она само развернутое узи делает, другие вообще по минимум пишут и даже фото не делают а она и фотки яичников и м-эхо шейки делает всегда
0
27.01.2025
Москва
Татьяна, хотя в этот раз был сгусток на 2 день и месячные как будто прекращаться начали
0
27.01.2025
Астрахань
Светлана , вот это развернуто я считаю, а у вас не очень Изображение
0
27.01.2025
Москва
Татьяна, ну такого развернутого у нас не делают (
0
27.01.2025
планирую беременность Москва
Светлана , у вас это где?? У вас Москва же написано. Тут клиник пруд пруди
0
27.01.2025
Москва
marti86, да это я просто написала, я в деревне живу и ближайший только пгт где делаю и узи и кровь сдаю
0
27.01.2025
Астрахань
у меня на раннем сроке беременности, когда еще не нашли ПЯ, эндометрий был 15 и гравидарный
0
27.01.2025
Москва
Татьяна, у меня в удачном цикле только пя находили а про жт и эндометрий не писали только пя описывали и угрозу поставили
0
27.01.2025
Астрахань
Светлана , странные у вас узисты)
0
27.01.2025
Москва
Татьяна, какие есть)
0
27.01.2025
Астрахань
Светлана , это вам в жк делали?
0
27.01.2025
Москва
Татьяна, не, платно, жк на руки бумаги не дают да и очередь там только по блату так сказать
0
27.01.2025
Мама девочки (11 месяцев) Нижний Новгород
У меня в позадиматочном пространстве жидкость была и без беременности. После овуляции
0
27.01.2025
Москва
Masha , да это понятно, но овуляции наверно и не было, прошли скудные месячные и вот узи на 8 день, она и сама не знает были ли это месячные так как я у неё в прошлом цикле на узи не была, была у другой но у них всегда большая разница в эндометрии очень... У нее допустим на узи у меня 7мм а у другого 12мм
0
27.01.2025
Розовый видиление на 10дц и узи Узи

Похожие записи