Санкт-Петербург
Полёт ненормальный, как выясняется((
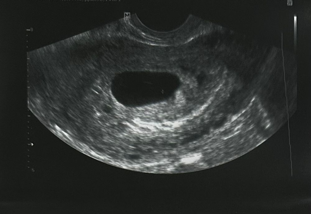
Ну что ж, сходила на УЗИ. Эмбриона нет.
По месячным - 9 акушерская неделя.
20 дней назад ПЯ было по размерам соответствующим сроку 5,3.
Сегодня ПЯ по размерам на 6,4 недели.
ЖМ нет, эмбриона нет
Токсикоз есть, чувствительность сосков есть, тесты и хгч положительные 🤷♀️
Что теперь делать? УЗИст отправил к гинекологу, сказал, что нужно будет ложиться в больницу и пить таблетки, нахожусь в командировке до конца февраля, не могу пока лечь в больницу…
Лучший ответ
Марина
Мама троих (17 лет, 5 лет, 4 года)
Минск
Тянуть уже не стоит,можно и дома таблетки выпить,мне анэмбрионию прерывали таблетками правда стационаре,но срок 7,5 акушерских( и 38 день после овуляции )и пя по сроку росло и жм был,у меня с таблетками все вышло,а у вас вот даже незнаю,по сути срок уже больше 8 недель должен быть и пя остановилось в развитии,оно там намертво вцепилось уже,раз организм не распознал и отторг самостоятельно,а вы поддержку никакую не принимали?
Сочувствую (
А тесты ещё и после аборта положительные будут,хгч из организма не сразу выводится,у меня 25 дней полосатые ещё были,а сразу после как все вышло,были жирные полоски
0
14.02.2025
Ответить
Мама двоих (15 лет, 8 месяцев)
Воронеж
Ничего себе, сочувствую вам 😕.
А на первом узи эмбрион был? Куда же он делся 🤷🏻♀️
0
14.02.2025
Ответить
Санкт-Петербург
Поля, на первом узи увидели только плодное яйцо, как мне тогда сказал врач - вы слишком рано пришли, переделайте узи после 14 февраля… и вот, переделала(
0
14.02.2025
Ответить
Мама двоих (15 лет, 8 месяцев)
Воронеж
Aylaya, у вас ещё все впереди, уверена, держитесь 🍀
МА не бойтесь, вы даже ничего не почувствуете.
0
14.02.2025
Ответить
Мама мальчика (3 года), беременна, 9 неделя
Москва
Необязатольно в больницу. У меня на таком сроке были таблетки, как месячные прошли и все. Если уж прям кровотечение, то скорую. Но я не видела чтобы часто такое случалось.
0
14.02.2025
Ответить
Мама мальчика (3 года), беременна, 9 неделя
Москва
Aylaya, мне вообще не было больно, эти таблетки месячные иммитируют, блокируют прогестерон и стимулируют сократительную деятельность матки. Чуть просто больше крови было и плодное яйцо вышло (тоже пустое было)
0
14.02.2025
Ответить
Мама мальчика (11 лет), жду девочку, 35 неделя
Калуга
Aylaya, как месячные, идет кровь, потом выйдет прозрачная фасолинка. мне очень жаль(((( у меня сестра выпила таблетку-2 часа побыла в больнице и отправили домой
0
14.02.2025
Ответить
Мама мальчика (14 лет)
Воркута
Сочувствую((( Но может ещё в другом месте УЗИ сделать? У меня МА был дома, утром на работу спокойно поехала, в больницу даже не предлагали.
0
14.02.2025
Ответить
Санкт-Петербург
Виктория , вот и думаю, когда сходить на узи в другое место? Записалась на завтра. Но если у меня, например, была поздняя овуляция, и всё запуталось со сроками, то есть ли смысл идти завтра, или подождать неделю? А ближайшие записи к гинекологу здесь только после 20го
0
14.02.2025
Ответить
Мама мальчика (14 лет)
Воркута
Aylaya, завтра и идите, в любом случае уже хотя бы ЖМ должен быть, а в 6 недель и эмбрион.
0
14.02.2025
Ответить
Мама двоих (9 лет, 1 год)
Тюмень
Можно и без больницы. Медикаментозный аборт.
А соски, тесты и хгч это все даёт плодное яйцо. Но ничего не говорит об эмбрионе
0
14.02.2025
Ответить
Мама мальчика (1 месяц)
Москва
Сочувствую 🙏🏻
На таком сроке можно медаборт, дома дня два я бы взяла выходной, до конца февраля не стоит тянутьь 🙏🏻
0
14.02.2025
Ответить
Мама мальчика (4 года)
Нур-Султан (Астана)
Дома можно МА сделать. Вернее первые таблетки выпить при враче, остальные дома
0
14.02.2025
Ответить