Войти

ОДИН ИЛИ ДВА?

0
14

Лучший ответ

Мама троих (17 лет, 5 лет, 4 года) Минск
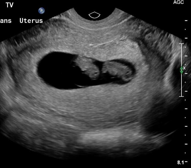
Автор вот двойня однояйцевая на сроке 8 недель Изображение
0
20.03.2025
Мама девочки (1 год), планирую беременность Кострома
Такой себе узист который не может понять. На снимке 1 эмбрион и рядом ЖМ
0
20.03.2025
Мама мальчика (1 год) Владивосток
Посему вы думаете про двух? На снимке один эмбриончик и жм рядом. Узист бы увидел уже, если бы было двое
0
19.03.2025
Мама мальчика (4 года) Нур-Султан (Астана)
Один Узист конечно атас. Нам такой умный узист пороки развития тоже понять не мог
0
20.03.2025
Мама троих (17 лет, 5 лет, 4 года) Минск
На снимке один эмбрион 17,3 мм на срок 8 недель и рядом желточный мешочек,на таком сроке и второй если бы бы то +- такого же размера и его бы точно разглядели,непонятно что врач не может понять
0
20.03.2025
Врач не в состоянии жм отличить от эмбриона? На скрининг лучше все же к другому узисту
0
20.03.2025
Мама девочки (6 месяцев) Екатеринбург
Вы прикалываетесь? Что за узист такой, что не может понять...
0
20.03.2025
Мама двоих (16 лет, 6 лет) Костанай
Ну если врач не может понять.🤭😁
0
20.03.2025
Мама девочки (1 год), планирую беременность Владимир
Вы задолбали. Все врач видит. Вы или троллите или хотите двойню. Но двойни у вас нет
0
25.03.2025
Мама двоих (4 года, 6 месяцев) Санкт-Петербург
однозначно один на этом снимке
0
20.03.2025
Мама двоих (2 года, 2 года) Москва
Один эмбрион и мешочек
0
20.03.2025
На этом снимке 1 эмбрион
0
19.03.2025
Мама мальчика (11 месяцев), беременна, 10 неделя Ставрополь
На этом фото один.
0
20.03.2025
Мама девочки (1 год), планирую беременность Владимир
Один
0
19.03.2025
Узи. 8 недель Мазок с лейкоцитами

Похожие записи