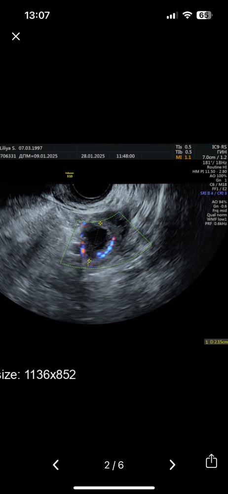
Где Жт?
ФолликулометрияДевочки
Врач мне про желтого тело нечего не сказала
Я и сама не спросила
Сказала что Овуляция была
И написано что есть умеренное жидкость позади маточного пространства
Мне кажется на фоте это Жт?
Не понимаете узи
Девочки
Врач мне про желтого тело нечего не сказала
Я и сама не спросила
Сказала что Овуляция была
И написано что есть умеренное жидкость позади маточного пространства
Мне кажется на фоте это Жт?
Не понимаете узи