планирую беременность
Рязань
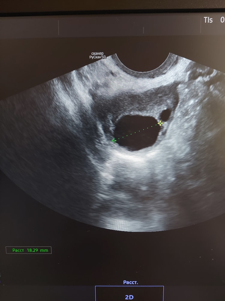
Может ли фолликул перестать расти перед овуляцией?
Узи на 15 день цикла показало эндометрий 8 мм и доминантный фолликул 18 мм. Сегодня 17 день цикла и узи показало ту же картину. Обычно цикл у меня 26-28 дней. Может ли фолликул перестать расти перед овуляцией?
Сегодня утром тест на овуляцию показал 2 одинаковые полоски.