Можно уже на узи?
УЗИВсем доброе утро, вопрос такой можно ли с такими тестами сходить уже завтра на узи? Покажет плодное яйцо или подождать ещё неделю?
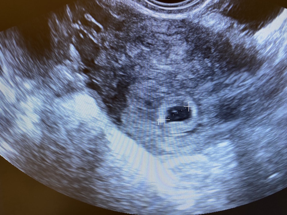
Акушерский срок по подсчетам 4-5 недель, 14-15 ДПО сегодня)
1ое фото 10-11 ДПО
2ое фото динамика с 10 ДПО по 14 ДПО
3ье фото 14-15 ДПО
Всем заранее спасибо 🤗



Лучший ответ
Мария
подождать, а лучше даже 2 недели
16.05.2025
Ответить
РЕКА
Я пошла на 15 дпо, плодное яйцо 3мм. Но у меня полоска поярче была. Я делала только один раз тест на 14дпо.
16.05.2025
Ответить
Леся
Если нет выделений кровянистые, болей и других тревожных симптомов, то не торопитесь, подождите ещё хотя бы неделю. А то ничего не найдут и только нервничать лишний раз начнёте.
16.05.2025
Ответить
Анастасия
Во вторую беременность я ходила на УЗИ через 7 дней после ожидаемых месячных, то есть было 3 недели после зачатия. Нашли только малюсенькое плодное яйцо.
Потому, раньше, чем через 7 дней идти не стоит.
16.05.2025
Ответить
Мама тоже человек
Сдайте ХГЧ 2-3 раза в динамике с интервалом раз в три дня. Ну УЗИ в 5-6 полных недель. Т.е. через 14 дней от задержки. Как правило этот срок рекомендуется для первого УЗИ для определения беременности. Возможно уже и сб услушите в 6-7 недель.
16.05.2025
Ответить
Марина
Рано на 15 дпо хгч маленький ещё ничего не увидят,у меня одинаковые полоски были на 15 дпо и хгч 475 всего был,делала УЗИ на 22 дпо нашли пя нормального размера и желточный мешочек,а эмбрион и сердцебиение на 31 дпо
16.05.2025
Ответить
Январька
Я ходила в 4нед6дней по месячным. 21-22ДПО. В матке увидели такой кругляшок в домике
16.05.2025
Ответить
Олеся
На узи после хгч 1000. Сдайте в лаборатории, прикиньте динамику и повторите в нужный день.
Тесты обычно от 25. Тпк что на узи, скорее всего, через неделю-полторы.
16.05.2025
Ответить
Катерина Ру
Единорожка, да зачем? Просто подождите 2 недели. Врачи не рекомендуют ранние УЗИ. А дырявить вену тоже не надо. И так все понятно. Завтра на УЗИ не увидят ничего. Через неделю увидят маленькое плодное яйцо. Через 2 недели на сроке 6+ эмбрион, ещё чуть позже - сердцебиение (пульсацию). Так что лучше пока не лазить туда, там самые тончайшие процессы закладки органов происходят
16.05.2025
Ответить
Единорожка
Кокосова, спасибо обязательно будем 🙏
По поводу хгч завтра утром поеду сдавать.
На узи записалась два дня назад, испугалась, резко встала и потом несколько часов тянул низ живота. В первые минуты сильно и потом слабее.
Вот теперь думаю перенести запись или оставить. Увидят там что-то или рано. Хотелось бы подтвердить что беременность маточная, а то постоянно накручиваю себя🙂
16.05.2025
Ответить
Кокосова
Единорожка, ну да, лучше конечно хгч крови, после 1000 точно увидят ☺️ главное, не нервничайте 🌺
16.05.2025
Ответить