Очередной кринж , киста? Шансов нет? 😖

Отмените дюфастон, с врачом поговорите. Это от дюфастона киста. Но она всего на 9 мм больше верхней границы фолликула (до 20 мм). В следующий цикл бпз дюфастона вполне возможно её уже не будет
19.05.2025
Lilly Elly, спасибо, написала врачу, жду. Просто читаю, что у кого-то и при 30 лопаются)
19.05.2025
Да, вопрос киста жт или фолликулярная ? Прлнстерон может сдерживать О, и именно поэтому его и назначают пить после свершившейся О
19.05.2025
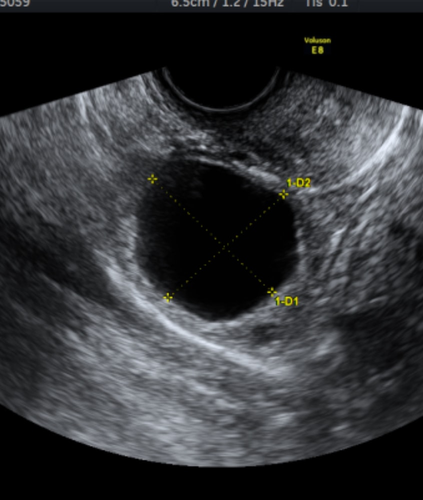
Екатерина , фолликулярная, ну я сама виновата конечно , что начала дюфастон пить, но просто реально не думала, что что-то вырастет. Теперь то отменять дюф?
19.05.2025
Ангелина, тут пару дней осталось, я бы отменила. Кстати это громадина, у меня вырос за цикл 5,5 см в диаметре
19.05.2025
Екатерина , да я все тешу иллюзии , что может быть он лопнет, хотя на дюфе уже наврятли( написала врачу, жду что скажет
19.05.2025
Ангелина, на любые он не лопнет, просто она с месячными выйдет. Есть типа схема такая назначения, при эндометриозе, но это была не моя версия, я планиррвала тогда ..ну зато теперь кое в чем сама разбираюсь
19.05.2025
Ангелина, ага, я тогда тоже не знала , что так не назначают пить Дюфастон при овуляции своей (мне назначили с 5 по 25 пить)
19.05.2025
Екатерина , ну это вообще кощунство такое назначать. Я то знала, но овуляцию не ждала ((
19.05.2025
Изображение
19.05.2025
Ангелина, это киста желтого тела ?
19.05.2025
Аня, да нет, фолликулярная вроде
19.05.2025
Ангелина, у меня вот такая была ,34×29 в 5 недель беременности. Потом была уже меньше и больше ее на узи не описывали. Изображениет
19.05.2025
Овуляция и жёлтое тело Зачатие