Неужели(часть 2)
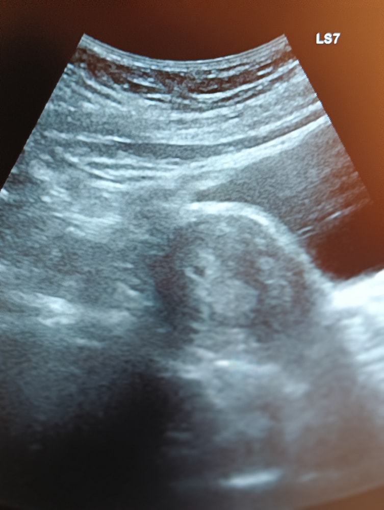
УЗИНа Узи врач долго осматривала и молчала. Потом выдала: "Наверное это ОНО. ДА-ДА ОНО!"
В матке. Всё как и должно быть. Срок поставила 3-4 недели и 9мм. В интернете много статей читала, что в 3-4 недели размер гораздо меньше, а в 7-8 он только достигает таких размеров.
На 17 июня назначили УЗИ и будут ставить на учет. Очень волнуюсь и жду этого дня. Надеюсь всё хорошо.
Только смущает срок и размер....
У кого такое было?
На УЗИ было только темное пятнышко, но размер большой, ведь при таком размере уже виден эмбрион, а тут ничего не видно

Лучший ответ
Марина
Так 9 мм это плодное яйцо и ранний срок 5-6 недель акушерских или 3-4 от зачатия,в 7-8 недель там эмбрион 10-15 мм,а не плодное яйцо,это разные параметры
09.06.2025
Ответить
Tatiana
В 7 недель уже эмбрион 9 мм, а не плодное яйцо. Всё у вас в порядке. ПЯ может быть любых размеров, главное, расти в динамике минимум на 1 мм в день.
09.06.2025
Ответить
Марина
У меня в 5,1 акушерских пя 8 мм было и жм 1,6 в заключении 3 недели,но 3 недели не акушерский срок,а от зачатия,у меня и было 3 недели от зачатия,на следующем УЗИ через 9 дней в 6,3 акушерских был эмбрион и сб и поставили уже акушерский срок по размеру эмбриона 6,2 недели
09.06.2025
Ответить
Святая инквизиция
Вы путаете эмбрион и плодное яйцо, все у нас нормально эмбрион на данном сроке ещё не может быть. У меня в 5.2д плодное было 10мм, а в 6.5д эмбрион был 8мм
09.06.2025
Ответить