Войти
Мама девочки (5 лет) Новокузнецк

Не могут найти плодное яйцо нигде

0
20
Думаю маленькое просто еще Конечно всякое может быть, но при вб хгч хуже вроде растет, у вас хорошо
0
23.06.2025
Мама мальчика (11 месяцев), беременна, 10 неделя Ставрополь
Русалочка , при ВБ бывает по-разному. Не всегда ХГЧ растет плохо.
0
23.06.2025
Мама девочки (6 лет) Новокузнецк
Tatiana, у меня нет ни крови, ни боли 🤷‍♀️
0
23.06.2025
Мама мальчика (11 месяцев), беременна, 10 неделя Ставрополь
Анастасия, они не сразу начинаются. Делайте УЗИ почаще, ищите ПЯ обязательно.
0
23.06.2025
Мама двоих (5 лет, 2 года) Реутов
Плодное яйцо видно при хгч от 1000. И то там 2-4мм, которые ещё разглядеть надо Зачем так часто делать УЗИ на столь малых сроках?
0
23.06.2025
Мама девочки (6 лет) Новокузнецк
Нина, в том то и дело что сегодня более 2000. Боюсь внематочную (
0
23.06.2025
Мама двоих (5 лет, 2 года) Реутов
Анастасия, ну вот сегодня уже что то видят, просто от аппарата зависит что именно. До этого то зачем так часто?... Повторите через 3-5 дней.
0
23.06.2025
Мама девочки (6 лет) Новокузнецк
Нина, хорошо, спасибо большое
0
23.06.2025
Мама мальчика (11 лет) Санкт-Петербург
Наблюдайте. Мне при ВБ смогли найти только при ХГЧ более 7000.
0
23.06.2025
Мама девочки (6 лет) Новокузнецк
Кейт86, какие были признаки ?
0
23.06.2025
Мама мальчика (11 лет) Санкт-Петербург
Анастасия, мазало с пятой недели
0
23.06.2025
Мама девочки (6 лет) Новокузнецк
Кейт86, а хгч как поднималось?
0
23.06.2025
Мама мальчика (11 лет) Санкт-Петербург
Анастасия, четко в два раза, как положено, но уровень был низким для предположительного срока Б.
0
23.06.2025
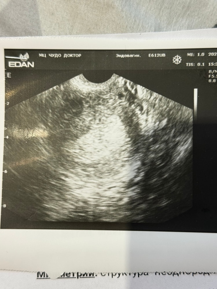
Мама девочки (6 лет) Новокузнецк
Изображение
0
23.06.2025
Мама двоих (1 год, 3 месяца) Нижний Новгород
Анастасия, в полости вообще пустота, ни намека на пя…
0
23.06.2025
Мама девочки (6 лет) Новокузнецк
Со вкусом счастья , Изображение
0
23.06.2025
Мама двоих (1 год, 3 месяца) Нижний Новгород
Анастасия, так таких точечек в полости матки на данном узи снимке можно море выделить… сомнительно, но океееей) p.s. то, что вы выделили вообще далеко от образа пя..
0
23.06.2025
Попробуйте переделать у другого специалиста и с другим аппаратом . Всякое в жизни бывает Не может же его вообще нигде не быть
0
23.06.2025
Мама девочки (6 лет) Новокузнецк
Изображение
0
23.06.2025
Мама мальчика (4 года) Нур-Султан (Астана)
По фото матка пустая, ищите у другого специалиста
0
23.06.2025
УЗИ перед нипт 10 недель ПЯ в углу матки

Похожие записи