Девочки нужна помощь
Дочка беременна. Что имеем. Последние месячные 15.05.2025
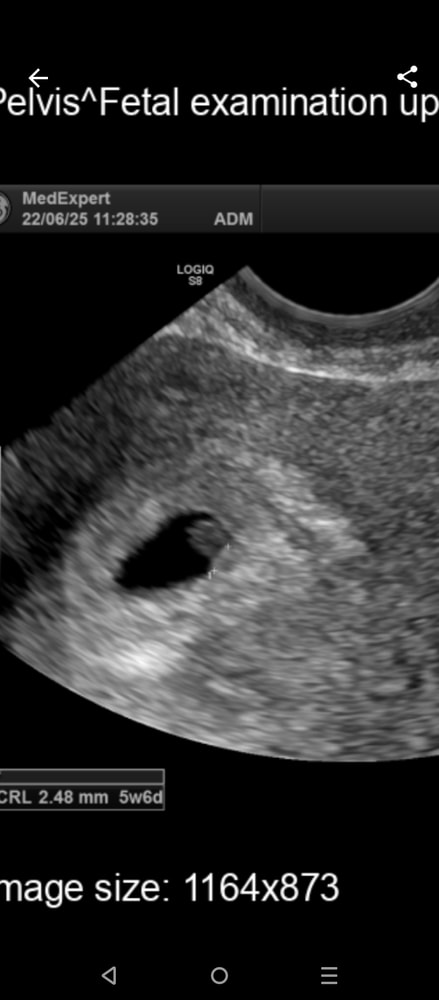
Сегодня сделала узи, вот что по узи
Плодное яйцо в матке сдв 5,6мм
Желточный мешок сдв 3,2 мм
Ктр эмбриона 2мм
Сердцебиения нет.
По узи срок 4недели.
Что-то мне не нравится маленькое плодное яйцо и большой для него желточный мешок. Опять же срок отстает очень прилично.
Что скажите?
Лучший ответ
Юлия *
Мама четырех (от 4 года до 20 лет), жду девочку, 35 неделя
Новосибирск
Очень маленькое ПЯ почему-то. У меня при 5 мм не было ещё ни жм, ни эмбриона. А тут малек 2 мм. Как он там помещается в пя с таким жм 🤔
0
03.07.2025
Ответить
Мама пятерых (от 1 год до 21 год)
Саратов
Юлия *, вот и я сравниваю со своим узи на этом сроке и мне совсем все не нравится
0
03.07.2025
Ответить
Мама четырех (от 4 года до 20 лет), жду девочку, 35 неделя
Новосибирск
Екатерина , переделайте дней через 5, может ошибка какая-то
0
03.07.2025
Ответить
Мама пятерых (от 1 год до 21 год)
Саратов
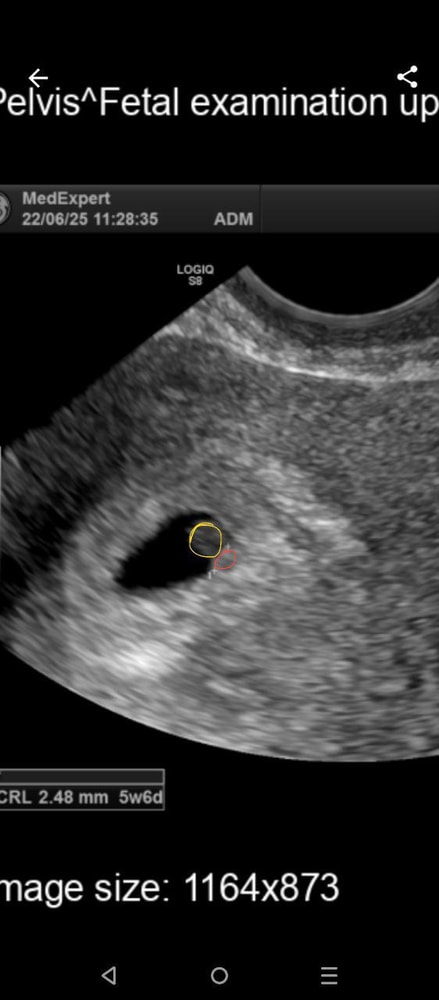
Юлия *, есть еще фото. Я тут вообще эмбриона не вижу
0
03.07.2025
Ответить
Мама двоих (3 года, 3 месяца)
Воронеж
Я просто по своему узи сужу, там я бы тоже нифига не разглядела.
0
03.07.2025
Ответить
Мама двоих (3 года, 3 месяца)
Воронеж
Екатерина , кстати по узи видно да, что она напутала что-то
0
03.07.2025
Ответить
Санкт-Петербург
Пока успокойтесь, надо попытаться узнать точный срок зачатия. По месячным может быть одно, а фактически на неделю - две меньше. У меня вторая Б неожиданно наступила на 7(!) день цикла, сразу после м - была супер ранняя овуляция, до задержки хгч был уже около 2000, три эмбриональных недели. У нее может быть наоборот. Сдайте хгч в динамике, это многое прояснит. Может, срок меньше, а рост хороший - тогда все норм.
0
03.07.2025
Ответить
Мама пятерых (от 1 год до 21 год)
Саратов
Зоя Асташова, вот только что пришло в голову, а не пропустила ли узистка цифру 1 перед 5 в размерах плодного яйца. Послала дочь уточнить и действительно сдв плодного яйца 15,6 а не 5,6 🙏в этом случае все неплохо и уже скоро появится сердцебиение
0
03.07.2025
Ответить
Санкт-Петербург
Екатерина , ааа, ну логично, даже по картинке видно - если бы и правда пя 5,6, то жм со своим размером должен почти полностью его занимать! А там ещё два таких поместятся😆
0
03.07.2025
Ответить
Мама мальчика (11 месяцев), беременна, 10 неделя
Ставрополь
Да вообще-то да, ПЯ маленькое. И хотя бы пульсация по-хорошему должна быть уже. Поделайте УЗИ раз в неделю. Пусть всё обойдётся 🙏🏻
0
03.07.2025
Ответить
Мама пятерых (от 1 год до 21 год)
Саратов
Tatiana, вот только что пришло в голову, а не пропустила ли узистка цифру 1 перед 5 в размерах плодного яйца. Послала дочь уточнить и действительно сдв плодного яйца 15,6 а не 5,6 🙏в этом случае все неплохо и уже скоро появится сердцебиение
0
03.07.2025
Ответить
Мама мальчика (11 месяцев), беременна, 10 неделя
Ставрополь
Екатерина , ой, ну тогда все шансы у вас есть. Ждите сердечко, всё будет!
0
03.07.2025
Ответить
Мама двоих (9 лет, 2 года)
Екатеринбург
Кажется, что как то не очень все.. очень маленькое пя…
0
03.07.2025
Ответить
Мама пятерых (от 1 год до 21 год)
Саратов
Лидия, вот только что пришло в голову, а не пропустила ли узистка цифру 1 перед 5 в размерах плодного яйца. Послала дочь уточнить и действительно сдв плодного яйца 15,6 а не 5,6 🙏в этом случае все неплохо и уже скоро появится сердцебиение
0
03.07.2025
Ответить
Мама двоих (3 года, 3 месяца)
Воронеж
Екатерина , фууух!!! Напугала! Ата-та узистке!
0
03.07.2025
Ответить
Мама двоих (3 года, 3 месяца)
Воронеж
Какая у неё длина цикла? Если стандартная, то всё как будто очень маленькое. А хгч в динамике не сдавали? Узи через пару-тройку дней лучше еще переделать 🤔
0
03.07.2025
Ответить
Мама пятерых (от 1 год до 21 год)
Саратов
Ли Ра, цикл не стандартный. ХГЧ не сдавали. Переделаем конечно, но что-то мне не очень все нравится
0
03.07.2025
Ответить
Мама двоих (3 года, 3 месяца)
Воронеж
Екатерина , обязательно. Картина мягко говоря странная. Надеюсь ошибка узиста
0
03.07.2025
Ответить
Мама мальчика (4 года)
Нур-Султан (Астана)
Плодное очень маленькое, в таком мало места для эмбриона и желточного
Но раз у вас получилась ошибка, что оч странно, врач конечно 👍, я бы пошла к другому на всякий
0
03.07.2025
Ответить
Мама пятерых (от 1 год до 21 год)
Саратов
hsnvnst, пришло в голову, а не пропустила ли узистка цифру 1 перед 5 в размерах плодного яйца. Послала дочь уточнить и действительно сдв плодного яйца 15,6 а не 5,6 🙏в этом случае все неплохо и уже скоро появится сердцебиение
0
03.07.2025
Ответить
Мама мальчика (8 месяцев)
Саратов
Овуляция могла быть поздняя, поэтому ПЯ пока что маленькое. У меня с ранней овуляцией СБ было в 5,6 недель. Я бы пока что не нервничала и смотрела в динамике. Растите, крошечки🥰
0
03.07.2025
Ответить
Мама троих (14 лет, 10 лет, 2 года)
Волжский
Переделать узи через неделю в другой клинике
0
03.07.2025
Ответить
Мама пятерых (от 1 год до 18 лет)
Ессентуки
Катерина, здравствуйте. Как ваша доча?
0
06.07.2025
Ответить
Мама пятерых (от 1 год до 21 год)
Саратов
Диана, пока ждем понедельника. Переделаем УЗИ в другом месте. По самочувствию все хорошо. Надеюсь завтра все встанет на свои места и будет сердцебиение у малыша 🙏
0
06.07.2025
Ответить
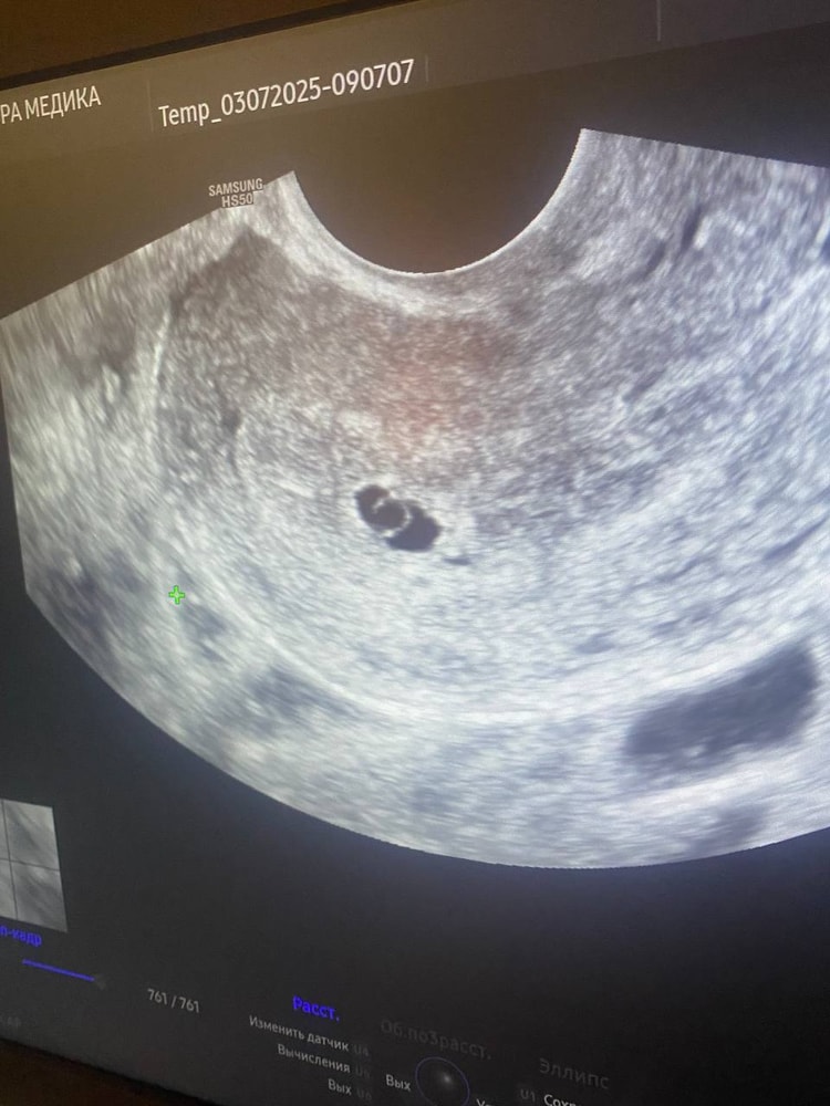
может вот???