планирую беременность
Новосибирск
Тератомы! Нужен совет
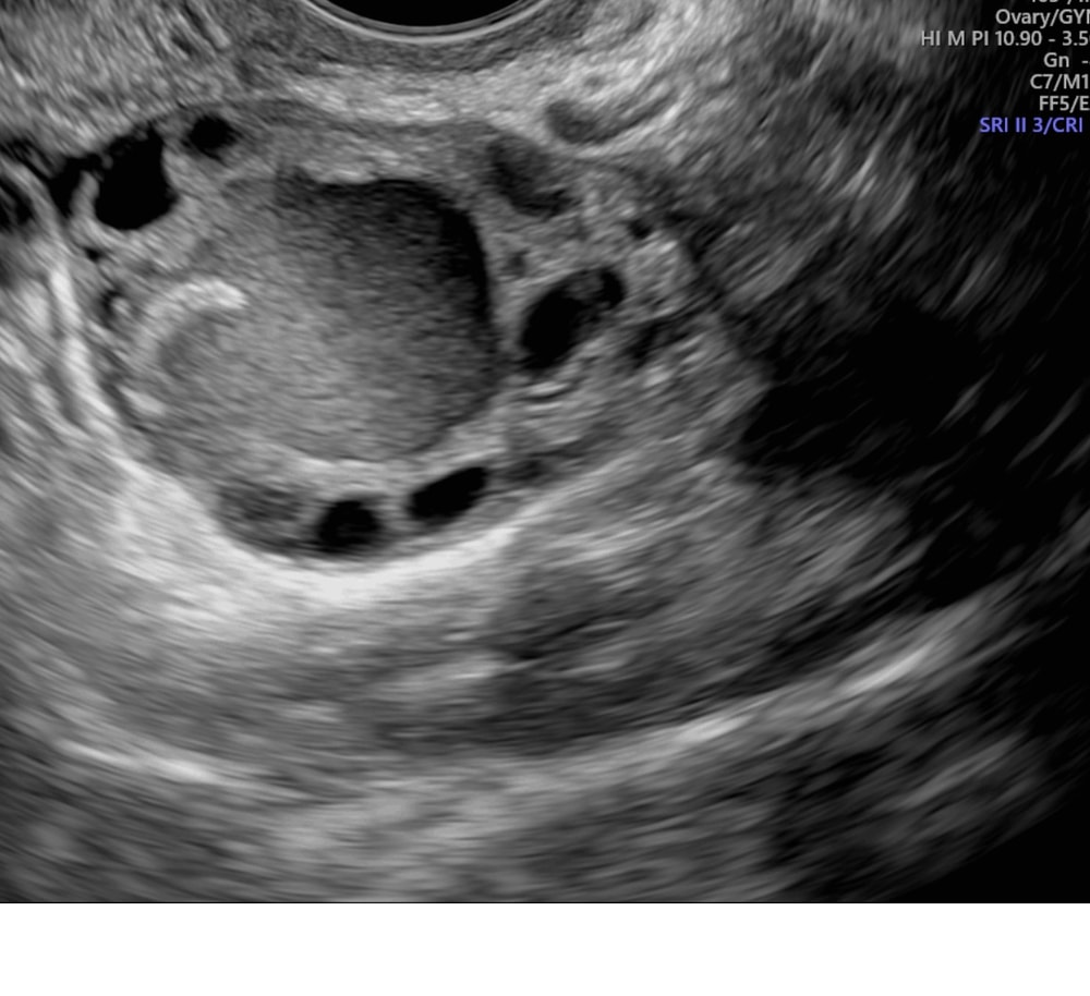
Прикладываю результаты узи, за столько лет обнаружили только сейчас, планируем беременность. Все здоровы , кроме этих кист. Врач скорей всего отправит на МРТ. Прошу дать совет, если врач скажет удалять ?То лучше удалить до беременности? Как это все пережить?! очень страшно!кто удалял повлияло ли на зачатие?



Лучший ответ
Линия Жизни
планирую беременность
Москва
Добрый день!
На Ваш вопрос ответила Андреевская Татьяна Васильевна:
"По УЗИ это образование имеет характеристики эндометриоидной кисты - это жидкостное образование с мелкодисперсной взвесью. На эхограмме данная картина тоже подтверждается. Т.к. образование находится в толще яичника, при его удалении повредится большое количество фолликулов и, возможно, через 3-6 месяцев резерв будет уже сильно снижен. Спрогнозировать здесь невозможно.
В этом случае рекомендуется прийти на консультацию репродуктолога и обсудить вопрос витрификации ооцитов до операции.
После удаления образования можно планировать самостоятельную беременность. Если она не наступает, нужно переходить к вспомогательным репродуктивным технологиям."
0
10.10.2025
Ответить
планирую беременность
Новосибирск
Линия Жизни, спасибо за ответ!Но у меня ведь две кисты, может ли большая быть эндометриойдной кистой, а белый полумесяц ( это вышло так на снимке, там белый круг) тератомой?Могу ли я не брать яйцеклетки у меня МФЯ, Амг 12+, на правом я. кист нет
0
10.10.2025
Ответить
планирую беременность
Москва
Елена, добрый день!
На Ваш вопрос ответила врач-репродуктолог, акушер-гинеколог Андреевская Татьяна Васильевна:
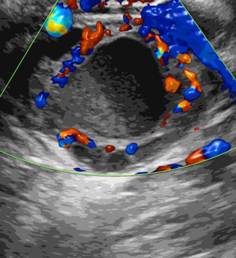
"На УЗИ-снимке врач описывает два жидкостных образования: 7 мм и 25 мм. Образования с мелкодисперсной взвесью - это как раз эндометриоидные кисты. Тот гиперэхогенный компонент, который Вы выделили на снимке, это пристеночное гиперэхогенное аваскулярное образование в составе эндометриоидной кисты. Такие образования бывают очень часто, это не дермоидная киста.
Это структура эндометриоидной кисты, это киста с высокой степенью воспалительной активности, так как там пристеночно образуется фиброзный компонент. Это говорит о том, что даже если Вы не лечите эту кисту, все равно овариальный резерв со временем снижается на фоне выраженного воспаления. Не рекомендуется сейчас удалять кисту даже при высоком овариальном резевре. Во-первых, потому что он сильно снижается в 95% случаев при образованиях такого вида и такого размера. Во-вторых, сама операция способствует распространению эндометриоза, двустороннему поражению, т.е. может перейти на другой яичник. Также в период планирования беременности есть риск рецидива. На практике мы часто сталкиваемся с такими проблемами.
Поэтому самый оптимальный вариант для Вас - витрифицировать ооциты, а далее можно планировать самостоятельную беременность. Если она не наступит, у Вас будет возможность использовать замороженные клетки.
Настоятельное рекомендую прийти на очный прием репродуктолога, чтобы детально обсудить тактику лечения и избежать поспешных неоправданных решений."
0
03.11.2025
Ответить
планирую беременность
Новосибирск
Линия Жизни, спасибо Вам за такой развернутый ответ! Сходила к хирургу она сказала что надо делать операцию , не дает забеременеть этот эндометриоз, поэтому операция уже на следующей неделе.
Возлагаю надежды на мой второй рабочий яичник…знаю что эндометриоз не излечим пока, поэтому беременность хочу планировать после операции…а стимулировать яичники с кистами тоже боюсь.. поэтому как-то так…
0
03.11.2025
Ответить
планирую беременность
Москва
Елеша, добрый день!
На ваш вопрос ответила врач-репродуктолог, акушер-гинеколог Андреевская Татьяна Васильевна:
"Страх предстоящей стимуляции и пункции, конечно, понятен.
Но переживать абсолютно не за что, так как процедура не наносит вреда гормональному здоровью и не приводит к развитию онкологических заболеваний. Об этом свидетельствует множество проведённых рандомизированных контролируемых исследований, которые говорят о том, что у женщин, прошедших программы ЭКО, риск развития онкологической заболеваний оказался даже ниже, чем у женщин, которые никогда в своей жизни не применяли гормональную стимуляцию.
Связано это с тем, что препараты, которые мы используем для стимуляции, это препараты фолликулостимулирующего гормона, которые действуют только на стенку фолликула. Это временные образования в яичнике, которые рассасываются в течение 10-14 дней. Поэтому к возникновению каких-либо гиперпластических процессов, тем более уже онкологических, это не приводит.
Переживать за пункцию тоже нет никакого повода, так как она проводится под легкой седацией. Вводится вещество, которое просто вызывает у вас глубокий сон на 5-10 минут.
Сама процедура проводится под ультразвуковым контролем и представляет собой прокол стенки влагалища и прокол стенки фолликула. Больше никаких травмирующих моментов в заборе ооцитов нет.
Что касается оперативного лечения эндометриоидных кист. К сожалению, как мы уже не раз говорили, прогноз о том, какой будет овариальный резерв яичников, даже если образование не очень большое, дать очень сложно. А тем более если образование занимает больше половины яичника, то как правило практика показывает, что в этом яичнике в дальнейшем либо вообще нет фолликулов, либо сохраняются до 1-2 фолликулов. Это максимум, который может быть в яичнике. Нарушается качество клеток в этом яичнике.
И несмотря на то, что поражение одностороннее, нельзя забывать о том, что также высок риск рецидива этой эндометриоидной кисты, а также поражения второй стороны за время, пока вы планируете самостоятельную беременность и паузу после операции до планирования беременности. Часто встречается на практике, что после операции через 3-6 месяцев приходят с образованием либо уже с другой стороны, либо с той же.
Проведение стимуляции и забор ооцитов при эндометриоидных кистах применяется давно, и это внесено в клинические рекомендации. И даже является показанием перед оперативным лечением на яичниках.
К сожалению, хирурги преследуют свою цель - провести оперативное лечение. О том, как получать беременность с низким овариальным резервом, им уже не приходится думать, так как с этим будет потом разбираться репродуктолог.
У нас существует негласное правило: любой гинеколог, выявив подобное образование, должен направить пациентку на консультацию к репродуктологу. Решение принимать вам, но настоятельно рекомендуем выслушать второе мнение хирурга и второе мнение репродуктолога, перед тем как сделать такой важный шаг, который может привести к серьезным последствиям и проблемами с рождением детей.
Так как гибель ооцитов во время оперативного лечения - процесс необратимый."
0
17.11.2025
Ответить
планирую беременность
Новосибирск
Линия Жизни, спасибо Вам! Ваши комментарии дали повод задуматься!Я сходила за еще двумя мнениями пока сдавала анализы, в итоге отменила операцию, так как хирург действительно мне показалось преследовала только «свою цель». Другие же врачи сказали, что киста не больших размеров (2,2см) не требует срочного операционного вмешательства, тем более беременностей еще ни разу не было. Пробую альтернативное лечение визанной и свечами Лонгидаза. Операция не панацея, эндометриоз не излечим полностью, поэтому надеюсь на лучшее, готовлюсь к худшему🤞🏻
0
17.11.2025
Ответить
планирую беременность
Москва
Елеша, желаем удачного лечения и скорейшего достижения целей! Если возникнут вопросы, приглашаем на консультацию к нашему специалисту - Зеберг Т.И., заведующей отделением Репродукции и Лечения эндометриоза, которая успешно помогает женщинам с этим заболеваниям достичь желанной беременности.
0
08.12.2025
Ответить
Мама девочки (1 год)
Москва
Вот посмотрела заключение ваше . В целом у вас яичники хорошо работают , дают фолликулы . У меня тоже такое количество было и есть после операции .
Но я искала врача , кто будет максимально аккуратно делать операцию и не трогать здоровые ткани насколько это возможно .
Но у меня и размеры были больше , 5-6 см , с таким точно надо откладывать беременность .
Лекарства мне никакие не назначали ( типо кок ) поэтому в " спячку " яичники не ушли . через 3 цикла уже были подтверждённые овуляции . ( до этого узи не делала , но циклы были стабильные )
Эта находка недавняя ваша ? Или они уже были и вы знали о них ?
0
09.10.2025
Ответить
Мама девочки (1 год)
Москва
Okey google, и дополню . С одной тератомой около 1 см ( которая появилась на узи после операции или просто врач зачаток не удалил и она опять выросла ) я забеременела , родила и она тех же размеров .
0
09.10.2025
Ответить
планирую беременность
Новосибирск
Okey google, да недавняя находка, до этого думаю были маленькие было не видно, одна запреметила полтора года назад, врач думала что киста эндометриозная, меньше см. При планировании видимо начали расти, их2 шт теперь. Одна 2,5 другая почти см. Я сравнила узи и заметила что подросили с мая . Думаю скажут удалять. А у вас была тератома внутри яичника или снаружи?да я слышала что появляются они заново …а вы ощущали кисту? Было такое ощущение как будто застудили яичники?
0
09.10.2025
Ответить
Мама девочки (1 год)
Москва
Елеша, изначально по узи думали что внутри только. Оказалось что одна внутри ( тератома ) и какого то другого типа снаружи 🤣.
Неа . Я была в шоке когда узнала размеры . я вообще даже и подумать не могла , что что то есть у меня
0
09.10.2025
Ответить
Мама двоих (10 лет, 6 лет), беременна, 10 неделя
Модена
У меня тоже тератома, но она не внутри яичника...Потом у Вас написано "вероятно". В любом случае, если удалять, то пострадает яичник сам, я бы планировала беременность все равно и проконсультировалась еще у другого врача.
0
03.10.2025
Ответить
планирую беременность
Новосибирск
Лилия, а у меня внутри? Я не понимаю….Вы беременели с ней? И большая у вас?у меня 2 шт
0
03.10.2025
Ответить
Мама двоих (10 лет, 6 лет), беременна, 10 неделя
Модена
Елеша, у вас написано "жидкостные образования в левом яичнике, вероятно тератомы ". Мы сейчас планируем....У меня 0,7 x 0,5 мм
0
03.10.2025
Ответить
Мама двоих (14 лет, 9 лет)
Кострома
Добрый день, я удалила тератому и частично правый яичник в июне этого года. Через 2 месяца случайно забеременела, планировали чуть позже, так как доктор сказал подождать полгодика. При том, что правый яичник не функционирует.
0
03.10.2025
Ответить
планирую беременность
Новосибирск
Лисёнка, у меня эта вся гадость на левом, овуляция в правом отслеживается, но беременность не наступает все ровно…Теперь страшно беременеть с ней , но и жить с таким тоже не охото.
0
03.10.2025
Ответить