Лучший ответ
SilverFox
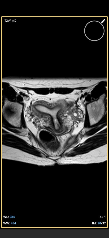
Тоже подумала про седловидную)
день
Ответить
Anastasiia
Нужны более тонкие срезы и все исследование, чтоб посмотреть нет ли перегородки.
день
Ответить
Ира
Anastasiia, вот я не знаю правильного ответа, получается было 2 мнения у врачей и вот третье мнение у девочек из этой группы )
день
Ответить
Blanche
Ира, а зачем?
И с двухрогой вынашивают и рожают, только если проблема с беременность случится, то тогда с гинекологом обсуждать.
день
Ответить
Ира
Таро Расклады на зачатие , одни врачи говорят двурогая, другой врач утверждает, что т образная
день
Ответить

