Камень в почке

Тем не менее даже за четыре дня до КТ узист в той же больнице не увидел... Макрогематурия просто равномерным окрашиванием, микрогематурию, т.е. просто эритроциты на светлой моче определяли сами по тест-полоскам. Цистоскопия чистая, но как сказал, один профессор, на цистоскопии видно что-то только или в момент прохождения камней/солей или сразу после, а мы тогда в больнице лежали, не бегали, не прыгали, эритроцитов соответственно не было. Вот мне теперь не понятно, как определить, что лечение проходит успешно или нет, раз на УЗИ камня не видно, только КТ? (ориентироваться только на эритроциты, я как-то не очень доверяю).
06.02.2020
К сожалению, не получается вставить фото мочи. Вот здесь я проводила фото, потом было все чаще и чаще, потом уже почти всегда при активном движении, и если не макро, то микро точно https://m.babyblog.ru/community/post/3_6_health/3072127
06.02.2020
уролог-андролог
Я не смогу разрешить вашу ситуацию по переписке, ребенка нужно смотреть.
07.02.2020
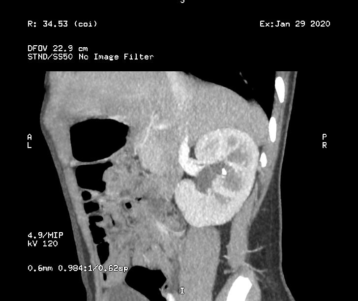
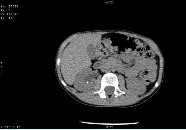
Получилось открыть диск с КТ, вот нашла что-то вроде напоминающее камень.
06.02.2020
Эритроциты всегда неизмененные, в т.ч. сдавали в самом НЦЗД анализ, который так и называется на дисморфные эритроциты.
06.02.2020
уролог-андролог
Хороший конкремент, такой будет видно на УЗИ. При цистоскопии никаких источников гематурии на слизистой не нашли? В чем была выражена макрогематурия, сгустки, равномерное окрашивание?
06.02.2020
Спасибо за ответ, но теперь я снова напряглась... Дело в том, что эритроциты, в т.ч. макрогематурия, появлялись только при физической нагрузке, т.е. после активных прогулок, бега и т.п. Поэтому увидев нечто на КТ, врачи ухватились за эту идею, что это камень (края неровные). В течение года лежали четыре раза в больницах, сдали кучу анализов, сделали урографию, рентгенографию, цистоскопию, сцинтиграфию - все в норме. Теперь вот КТ с контрастом (в НЦЗД), т.к. подозревали аортомизентериальный (или как бишь его) пинцет и сосудистые мальформации, этого нет в итоге. Что же может быть ещё? Есть ещё куда копать в нашем случае?
05.02.2020
уролог-андролог
Эритроциты какие, измененные или неизмененные?
05.02.2020
уролог-андролог
Здравствуйте. Мне сложно объективно судить о вашей ситуации, поскольку я не видел первоисточников клинической информации. Любые по составу конкременты почки, размерами более 3-4 мм, хорошо видны при УЗИ. Наличие единичного конкремента 3-4 мм, не является обязательной причиной гематурии. Мне кажется в вашей ситуации не все так однозначно.
05.02.2020
Контраст внутри венно Истерика перед мочеиспусканием