Дососались или брекеты ждите нас.
ЗубкиДо года Поля с соской вообще не расставалась,потом стала отучать потихоньку,пользовались только в качестве успокоения и на сон,потом только на сон,а с 1,5 вычеркнули окончательно её из своей жизни.Однако открытый прикус уже успел сформироваться;(
Юлька вон до 3 лет с пальцем не расставалась,сейчас уже молочные активно меняются и прикус правильный и зубки один к одному,а вот с Полей не пронесло..
Ну чтож,будем исправлять!И у моей девочки обязательно будет красивая улыбка!)А пока время еще есть,буду собирать информацию:что,где и как!Если у кого-то был опыт исправления такого прикуса,расскажите пожалуйста.

Светлана
В
таком возрасте все равно брекеты не ставят. Разве что пластинку. Но ребенку
трудно объяснить, что это для его же пользы. Так что смотрите лет до 12, если
само не «рассосется», то ставьте брекеты. Желательно на хороший клей, типа Flash-free,
чтобы эмаль от воздействия кислот защищал.
11.06.2015
Ответить
Белла
Я бы с пластинками не стала связываться. Мне кажется, они сильно травмируют зубы. Лучше уж потом брекеты постарше поставить. В более сознательном возрасте дети и носят их лучше.
28.06.2015
Ответить
Оля
мы тоже к полутора забыли о соске.сосали нa ночь только.прикус нормальный.ещё рано бить тревогу,после смены зубов станет понятно надо лечение или нет.успокою и скажу вам что в нашей стране пустышка до 4 лет норма.я конечно не одобряю и мне противны такие дети.но вы не поздно отучились от соски.
10.06.2015
Ответить
Наталья
У меня был неправильный прикус. Соску сосала долго. Нижняя челюсть вперед не выезжала, а стояла прямо на верхней. Т.е.назад не заезжала, но и вперед тоже. Одинаково были. Когда мне сказали, что мне грозит, я была уже в сознательном возрасте, я испугалась и постоянно пыталась нижнюю челюсть сдвинуть назад. (Не рукой, а челюсть) прикус у меня исправился :-)
10.06.2015
Ответить
Наташа
У нас все безболезненно прошло,днем я соску убирала из поля зрения и она о ней и не вспоминала,а вот на сон долго просила и пока просила,я давала.Я просто ждала-ждала и в один прекрасный день заснула без нее.Я вообще не сторонник насильственных методов;)если хочет сосать,пусть сосет,просто не умеет еще по другому успокаиваться,не знает,как справится с эмоциями.Как я уже говорила,старшая дочка долго сосала палец и никакие отучения не помогли,пока не подросла.После двух лет стала понимать,что делать это на улице (гостях и т.д) неприлично,но засыпала с ним лет до трех.
06.06.2015
Ответить
Саша
А 2 года ровно забрала соску у сына. Уже был открытый прикус. Прошло месяцев 5 все вернулось на место. Сейчас 2 и 8 почти нормальные зубки. Смыкаются. К ортодонту так и не дошли. Разговаривает хорошо.
05.06.2015
Ответить
Людмила
сомневаюсь если честно что причина в соске, мы сосали так же и до 2 лет .... и ничего.... тут видно еще причины есть, может генетика или вражденное
05.06.2015
Ответить
Наташа
Да,полностью согласна.Соска,наверное,это просто провоцирующий фактор,а истинная причина глубже.
06.06.2015
Ответить
elena(стр-во сауны,хамам,спа,соляные комнаты)
А понятно...у нас зубки домиком внутрь после сосок я подумала может оно
05.06.2015
Ответить

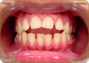
Это когда зубы в сомкнутом состоянии выглядят вот так:(