Есть что серьёзное ?
Анализы, УЗИ, Рентген
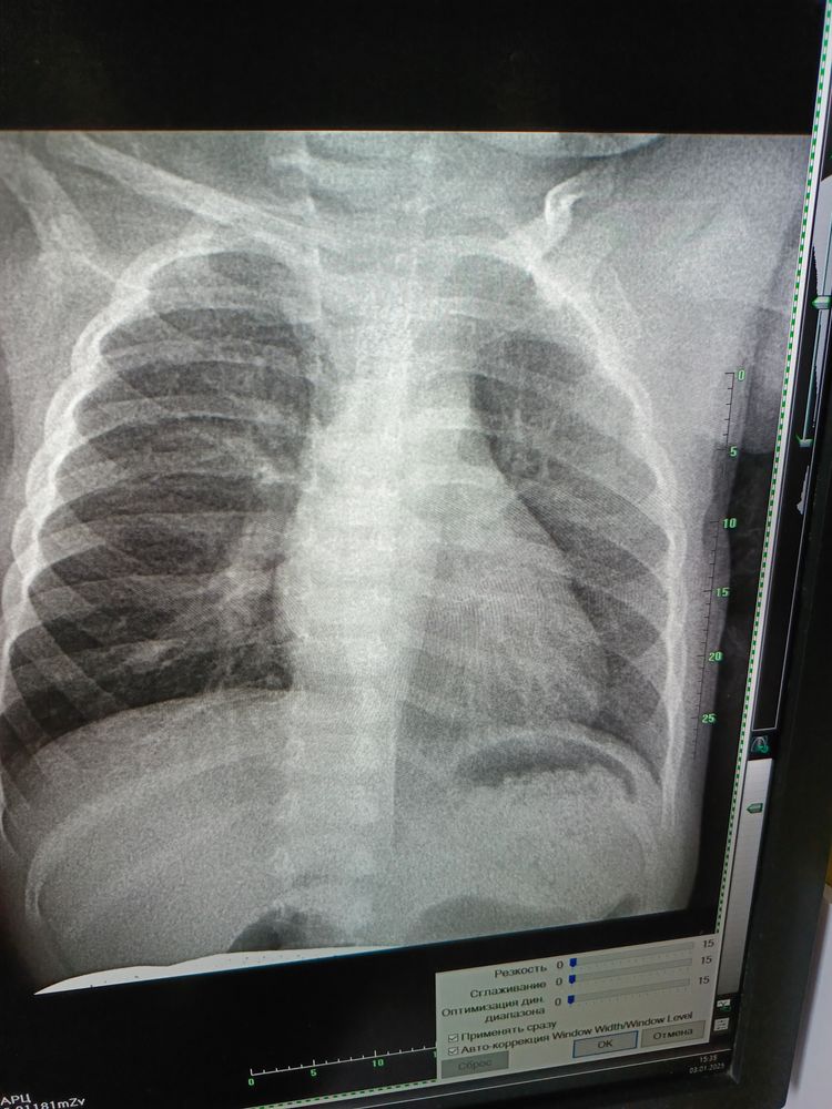
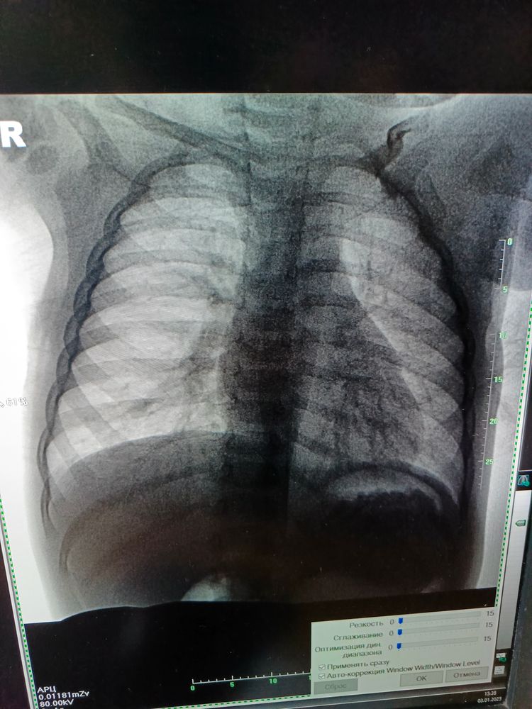
Девочки, добрый вечер, может кто разбирается в снимках? Дочке 1.5 , у нас мокрый кашель, сопли, расшифровка будет готова через несколько дней, я сфотографировала, может кто понимает?! Говорят пневмония или бронхит острый, температуры у нас нет
Enjoy
Пусть все будет хорошо 🙏🏻 какие сейчас вирусы жесткие.. температуры вообще не было?
03.01.2025
Ответить