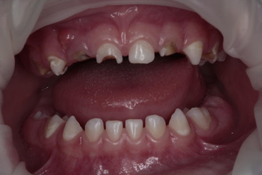
Кариес у малыша

Лучший ответ

Да, верно, лечить будет нечего. Надо делать в общем наркозе. И лучше сразу коронки.
03.10.2025
cherry, а Вы не знаете, последствий после такого наркоза не будет?
03.10.2025
Ксения, последствия могут быть от нелеченных зубов. Это постоянная инфекция во рту. Сыну до трех лет дважды делали наркоз по 4 часа каждый.
03.10.2025
cherry, поняла, спасибо большое
03.10.2025
В 3 года лечить будет нечего. Там за пару месяцев можно без зубов остаться.
03.10.2025
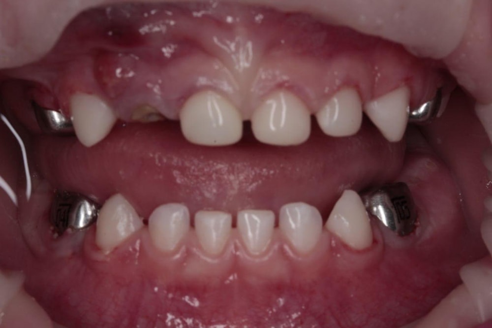
Сыну 2,7-позавчера под Севораном за три часа все зубки пролечили,поставили 4 коронки,один зубик не спасли,удалили-свищ уже образовался.И я так рада,что мы решились!!!Теперь тщательно следить за гигиеной,каждые 4 месяца визит к стоматологу, тусс мусс обязательно. Я ЗА то,чтобы лечить! Изображение Изображение
03.10.2025
Алена, что за мусс? Можно ссылку? И пасту какую рекомендуют?
03.10.2025
СкрипкаЛиса, 246501065 артикул на вайлдберрис, нужно брать импортный,не наш,который дешевле в 2 раза. Спец мусс для укрепления эмали зубов.А щётку и пасту рекомендовали Curaprox
03.10.2025
Алена, спасибо 🫶
03.10.2025
У Тимофея гипоплазия эмали была прям с прорезывания зубов((И плюс два передних зубика сломал летом при падении
03.10.2025
Алена, нам сказали, что севоран с 3х лет лучше, ну то есть можно пораньше, но лучше дотянуть до 3х. Как сын в 2.7 перенёс наркоз? Где делали? В платной клинике или по омс смогли выбить? Мне сказали, что по омс тоже дают направление, но совершенно непонятно как его получить (((
03.10.2025
Fahari, мы сходили на приём по ОМС,нам сразу сказали, что только в частной клинике под наркозом лечат(незнаю, как в больших городах,мы живём в городке на Кавказе).Нам обошлось полностью лечение+наркоз+анализы 80 тыс руб в хорошей частной клинике,по столичным меркам это недорого,для нашего региона дороговато....но здоровье ребёнка гораздо важнее)сынок отлично перенес наркоз,проснулся минут через 20,поплакал немного,понаблюдали за ним и разрешили ехать домой.Пару часов страховали его,ходил пошатываясь,к вечеру будто ничего и не делали
04.10.2025
Алена, нам 300 000 выкатили 🙈, я в шоке, будто в столице родители поголовно миллионеры 😏. А по омс никак не выбить.
05.10.2025
Fahari, 300 000?????Ничего себе цены !!!!Я в шоке!
07.10.2025
Ждать точно не стоит. Не вижу ничего плохого ни в коронках (они играют роль защитных колпачков для зубов), не в наркозе по НАЗНАЧЕНИЮ (делают же операции детям, причем серьезные). Если бы наркоз очень негативно влиял на ребенка, с невероятными осложнениями, то его бы не делали. Также вы будете сдавать анализы, перед лечением.
03.10.2025
😅до 2.5-3 лет зубы разваляться, и что в 3 года ребенку без наркоза можно зубы будет пролечить?
03.10.2025
Маргарита, имеется в виду другой вид наркоза, я в них не особо разбираюсь, но в таком возрасте в сон погружают, а в 3 типо как общая анестезия вроде. Если я правильно поняла врача.
03.10.2025
Ксения, седация ,да Но я ее тоже боюсь,у нас тоже что -то с зубами,причем,испортились прямо на глазах, за пару недель. Надеюсь,что продержимся на фтор -лаке, муссах и пастах. Крестница,кстати, додержала та зубы ,пока сами не выпали уже по возрасту
03.10.2025
Мария , у нас месяц назад еще ничего было, но сейчас посмотрела фонариком и пятен прям больше стало. Волнуюсь сильно, наркоз боюсь, но и так оставлять не хочется. Пойдем в пятницу к другому врачу, послушаю и будем принимать решение. Спасибо большое, пусть детки не болеют!
03.10.2025
Лечили обоим сыночкам, как раз в вашем возрасте. Получилось так,что пришли с подростком на лечение зуба, младшего взяла с собой для консультации, он кстати панически боялся врачей после прививки, доктор долечил старшего,мы с малышом сели в кресло, чтобы доктор хотя бы посмотрел, а он не долго думая,заговария зубы, вылечил нам зубик, после этого сын спокойно лечит зубы. Самому младшему с кариесом немного подзапустили, образовались глубокие дырочки на передних зубах, во время лечения подплакивал,но в принципе терпимо, вот завтра едем долечивать последний больной зубик.
03.10.2025
Конечно, лечить! Сыну лечу с 1.7 без наркоза, но он изначально сидел спокойно более менее, пришли первый раз с небольшим кариесом, все сделали за 20 мин и получилось безболезненно, с тех пор к стоматологам ходит хорошо, даже можно сказать, с удовольствием 😁 насчет наркоза, ничего не должно быть от севорана (можно сначала просто на консультацию сходить, вам врач даст разъяснения) . У взрослых то кариес быстро развивается, а у детей еще быстрее, так что мое мнение точно лечить!
03.10.2025
Александра, и кстати, пломбы очень даже ставят, смотря на ск поврежден зуб, конечно, но в целом их ставят.
03.10.2025
Мы до 3х лет ждём, тянем зубы на пастах и тусмусе, ттт, уже почти год (с грамотным стоматологом, не самодеятельность). Но вот нам скоро 3, на одном зубе пошёл процесс разрушения((( Наркоз только после 3х нам сказали. Ну и это платно, конечно. Пойдём по омс попробуем на неделе, узнаю там, что скажут. Тк раз процесс пошёл, значит не долго зубам осталось и остальным :(
03.10.2025
Fahari, а с какого возраста начался?
03.10.2025
Ксения, примерно в 2.2, в феврале этого месяца увидела белые полосы на зубах, за 2 недели в полноценный кариес перешло. Первый стоматолог отмахнулась, когда ещё белый налёт был (как мне сказали позже, она должна была нам попытаться сделать чистку и нанести какой-то гель, который защищает от кариеса), вторые начали развод на деньги, и вот только с третьим мы и причину выяснили что нас за 2 недели со стадии белых полосок до кариеса довело при нормальной гигиене и отсутствии налёта. Оказалось обычный рефлюкс, в смысле в этом возрасте обычное явление, но чаще всего к повреждениям эмали он не приводит. В нашем случае привёл, увы. Пролечили рефлюкс, и вот с февраля живём на туссмуссе, до позавчера без ухудшений, а позавчера один зуб начал разрушаться ((( Удачи Вам!
03.10.2025
Fahari, спасибо большое и Вам удачи 🍀
03.10.2025
Надо хоть пломбу поставитьи и сам кариес почистить, так как зуб может разрушиться до нерва, потом будет пипец.
03.10.2025
Летта, пломбу сказали, в таком возрасте не ставят , только коронки.
03.10.2025
Ксения, звёздят. Идите в другую клинику
03.10.2025
Начальный кариес Индивидуальная капа в 3 года