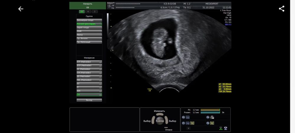
Ретрохальная гематома и мягкая шейка 9 недель беременности

9 недель и 3 дня срок. Сегодня сделала узи, по причине того, что в прошлый раз была отслойка 11×3мм (заключение прикладываю). В результате сегодня имеем прогрессирующую отслойку 27×3мм. Помимо этого шейка матки очень мягкая и губы свободно двигаются при перемещении датчика. Иногда тянет живот, не сильно, как перед месячными, только намного слабее. Выделения по цвету немного желтоватые, но не постоянно, а раз за несколько дней. А так, нормальные по цвету, без запаха. Кровяных или коричневых выделений нет. Прием у акушера-гинеколога только завтра. Приговор врача-узи заставляет нервничать и переживать, но пытаюсь отвлечься и успокоиться, была озвучена угроза прерывания беременности. Приехала домой и соблюдаю постельный режим до завтрашнего дня. Встаю только по крайней необходимости (туалет, покушать). Из препаратов ничего не принимаю, только витамины Элевит первый триместр. Как мне вообще вести себя в данной ситуации до приема врача? Чего бояться и при каких ситуациях вызывать скорую. Короче я напугана.
Лучший ответ