Полип эндометрия.
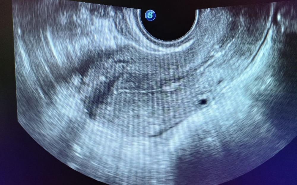
Здравствуйте. На УЗИ обнаружили признаки полипа эндометрия. Первый раз, в ноябре прошлого года делала УЗИ, все было чисто. Как лечить?
Здравствуйте. На УЗИ обнаружили признаки полипа эндометрия. Первый раз, в ноябре прошлого года делала УЗИ, все было чисто. Как лечить?