Плановое УЗИ 2-го триместра: все тайны раскрыты!
УЗИ, КТГ, доплерВ понедельник я нервничала из-за того, что не получилось по записи попасть к одному врачу на УЗИ, так что приняла решение не тянуть и пойти в проверенное место. Вот вчера с утра вместе с мужем и сходили)) накануне договаривалась с малышом, чтоб показал все))
Только-только приставили датчик к животу, как врач восклицает: "Ух! Вот так ракурс! Начнем с самого интересного?" Мы такие: "Конееечно!" Итак..... "У вас мальчик!" )))) И продемонстрировала во всей красе вид снизу=))
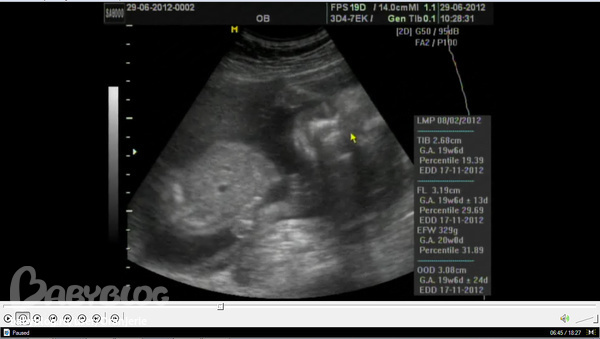
Дальше замеры-замеры: все у детки в норме, весит уже 330 грамм - кабасик))) у меня тоже все хорошо, плацента поднялась - уже 45 мм выше внутреннего зева. Единстенное, сказали, что шейка матки коротковата - 27 мм, но внутренний зев закрыт, так что ничего ( хотя на предыдущих узи на 9 и на 12 неделе она была 30 мм и на осмотре ни у врача из ЖК, ни у врача из РД никаких претензий к ее длине не было). Кровотоки все в норме.
В общем, любуюсь уже который раз видео с УЗИ. Наш мальчик-зайчик просто прелесть)) Ножки такие ням-ням, а когда пальчики растопыривает - я вообще пищу от восторга! И вот сделала принскрин, где видно его личико даже хорошо))





Вот это масечка!!!!!!!! Здоровья Вам и сыночку!!!!!!!!!!!!!!!!