Наше Узи 31.2 неделя
УЗИ, КТГ, доплерМы сходили на узи=)))) ООООООчень довольны всем=)
Много я переживала как там и что там, оказалось все переживания напрасны=)
У нас там по прежнему Аришка=) , ничего у нее мальчукового не выросло=)))
Все показатели у нас опережают срок, и соответственно дата родов у нас переместилась на январь=)
Бипариетальный размер головки 81мм - соответствует 32н5дн
Лобно- затылочный размер головки 103мм - 32н2дн
Окружность головки 297мм - 32н6дн
Окружность живота 291мм - 33н1дн
Длина бедра ( левой правой) 62 мм - 32н1дн
Длина костей голени ( лев,пр) 54мм - 32н1дн
Длина костей плеча 55мм- 32н1д
Длина костей предплечья 52мм - 33н0дн
Данные соответствуют 32 неделям 5 дням ( по месячным 31н2дн),
Вес плода - 2074 г
ПДР- 27.01.13
ЧСС- 148 ударов в минуту
Плацента по передней стенке, расположена высоко,от внутреннего зева, Толщина 41мм, нормальная. Степень зрелости 2я, соответствует сроку беременности.
Шейка матки не укорочена. Кол во вод - нормальное.
Тонус нормальный.
Ну и обвития нет и нарушений фето - плацентарного и маточно - плацентарного кровообращения не выявлено.
Фуууууууууууууух , вообщем мы здоровенькие, крепенькие, губастенькие, волосастенькие=) Слава Богу=)
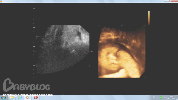
ну и вот пару наших фото... мало что понятно , но по правой стороне видно наш ротик сперва открытый, потом закрытый=))) и ручка трет глазик)


На узи ходили с группой поддержки мамой и мужем=) все довольны, ждем нашу лапочку дочку=*
