Фариза Плиева
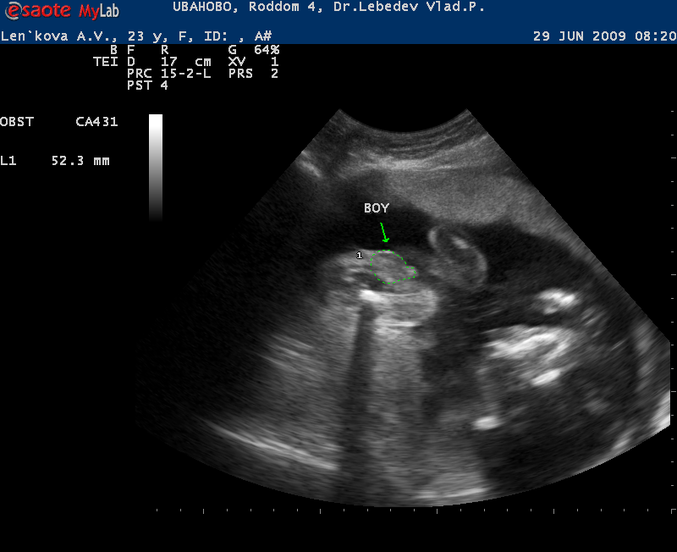
Узист сказал девочка, но очень хочется верить в то, что это мальчик.
28.05.2018
Ответить
pugovka
сложно спутать)))) ну эо напши 32 недели, но на 24, и на 16 выглядело также почти)
сложно спутать)))) ну эо напши 32 недели, но на 24, и на 16 выглядело также почти)
07.06.2013
Ответить
эМ
точно, ни с чем не спутать)) у нас мальчики и тоже как на яву было, всё как у папы, ни с чем не спутать))
07.06.2013
Ответить
Анна
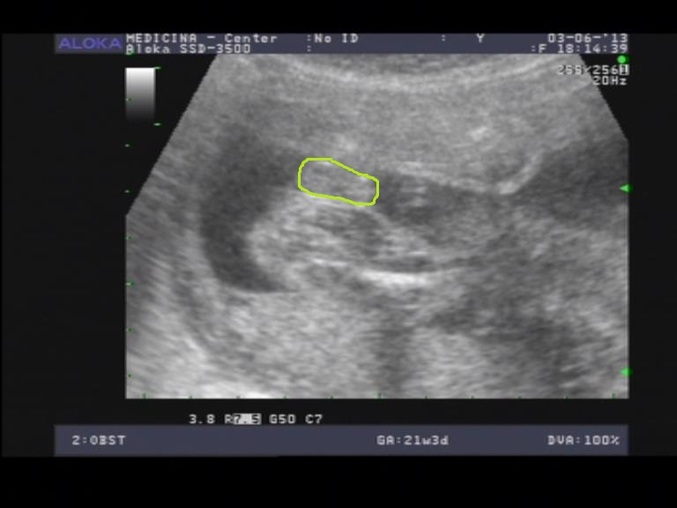
спасибо! просто писи в 1 и 2 Б отличаются,вот и закрались сомнения))) но,видимо,все же опять мужик...
1 Б
2 Б
в первый раз четко писька была видна,а сейчас толщина то наравне с мошонкой))) вот такие у меня загоны)))
2 Б
в первый раз четко писька была видна,а сейчас толщина то наравне с мошонкой))) вот такие у меня загоны)))
07.06.2013
Ответить
pugovka
это мальчишечка))) даже место расположение по костям бедренным не как у девочки на узи) а как бы вперед выдвинуто, и дочи на вссех узи пися прям вот посередине, и от нее ножки сразу)))) ну и форма.. я прям и на мониторе видела и на фотках на всех сроках с 16 недель четко видно овал такой пухлый очень близкий к кругляшку... ) ну всякое бывает наверное) но видимо теперь у вас будет 2 помощника)) здоровья вам с малышом

09.06.2013
Ответить
Нютка
вам что конкретно ТО место?))) Такого никто не покажет)) мало кто фотографирует, да и обычному глазу трудно понять, обычно все моськи фотают))
07.06.2013
Ответить
Анна
блин)))в инете нашла кучу фоток ТОГО места мальчиков,а вот девочек фиг)))) просто у меня это место у 1 и 2 беременности оч отличается...вот я и теплю надежду,а вдруг ошибка)))
07.06.2013
Ответить
Анна
да
я уж не знаю какому богу молиться..ну что за несправедливость. вот сижу и видео разглядываю,сравниваю))))
я уж не знаю какому богу молиться..ну что за несправедливость. вот сижу и видео разглядываю,сравниваю))))
07.06.2013
Ответить
Нютка
Эх не легко Вам придется))) А я вообще слышала, что не по писюшке смотрят, а по внутренним органам, ну там яичникам чтоли)) У меня же док как-то в 12 недель разглядел, но я думаю да же у мальчиков там еще ничего нету)))
07.06.2013
Ответить
Светлана(Фотограф_Калуга)
Так у мальчиков тоже только к родам яички опускаются в мошонку, правда где они гуляют до этого, я не знаю)))но вполне возможно похоже на яичники девчачьи))
07.06.2013
Ответить
Надя
В паху они гуляют.у моего сына после рождения одно не опустилось и ждали до трех лет,потом прооперировали и положили в нужное место (мошонку))))).
07.06.2013
Ответить
Светлана(Фотограф_Калуга)
Да, про такие случаи я слышала, довольно частые случаи
07.06.2013
Ответить
Lilu
А как тогда мальчуковую пипирочку на узи отличают,если яичков не видно,или их видно, или по кранику?
07.06.2013
Ответить
Lilu
ааа, ну то есть просто яичков нет в мошонке, а так все как у мальчиков? А вообще краник как правило, длинненький или вот я один раз где-то читала, что наоборот, он не очень большой, больше по мошонке смотрят.
07.06.2013
Ответить
Светлана(Фотограф_Калуга)
Краник разный у всех:))бывают огромные, опухшие от воды))а бывают у девочек половые губы опухшие и их путают с мошонкой)
08.06.2013
Ответить
Lilu
Аааа, вот оно что! Ну еще на УЗИ сходим, может все-таки скажут что-нить) А то в 28 недель не стала смотреть, типа спешила, а малыш ножки сжал, а до этого в 12 недель на девочку был малыш похож, но вероятность ошибки, сказал, большая. А в 16 недель не стала грить, мол, боится ошибиться, а в 22 типа мальчик, но я вот там только пипирочку видела, а яички-мошонка которая, будто на ножках что ль, ну словно не отдельно, непонятно короче и пипирочка большая какая-то показалось, теперь думаю,ч то пуповина может)))))))))))))
08.06.2013
Ответить
Ангелина
ну зачем же вы так расстраиваетесь....это ж ваша кровиночка......зато братикам будет вместе что надо, родите и представить не сможете что это был бы кто то другой!
07.06.2013
Ответить
