Итааак, у нас будет...
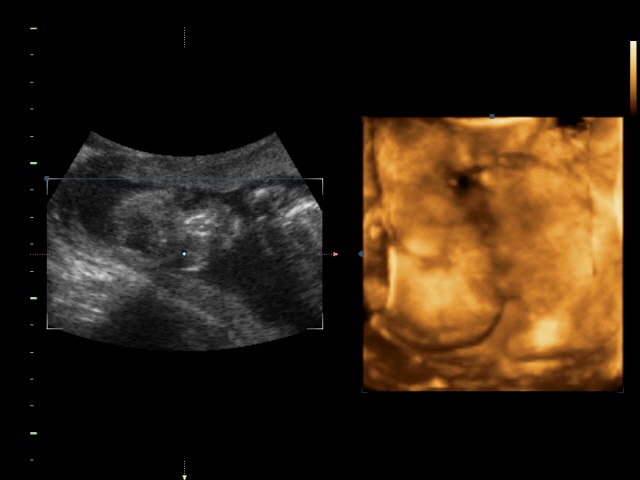
Пол малышаСходили мы на УЗИ вчера! Ходили с мамой и сыном, мужа в городе еще нет, но для него все записано на диск)) Итак, самое главное что все у нас хорошо, по мес 18 недель 4 дня(вчера ходили) по узи 19 недель 4 дня, перегнал почему то))) Малыш наш тихоня еще тот, я его почти не чувствую, спит постоянно, вот и на узи пришли, а он попой к нам повернулся, ручками закрылся, ножки поджал и все. Нииичего не увидишь(( я уже было расстроилась что всея, прийдется ждать следующего узи чтобы узнать пол, а ведь шла подготовленная, тортик поела сутра(начитавшись что сладкое приводиттак сказать малышей в движение))) но опытный врач все таки подлез к нашему малышу и.........барабанная дробь..................... МАЛЬЧИК!!! Мама попросила показать, тк по ее "правдивым и верным" подсчетам у меня должна была быть девочка( я ей поломала всю систему, тк до этого всем она считала и у всех сходилось, а у меня ни первый сын и второй-вместо девчонок)))-и тут на весь экран нам показали все наши достоинства, показали где и что расходится) а так как почти все узи мы смотрели в 4д сомнений у нас не было))) Весим мы 291гр, рост либо не написали либо я не нашла. Папа наш рад до безумия, как павлин распушил хвост и довольный))) Я тоже очень довольна, мне впринципе было все равно кто там живет, но как то больше хотелось сыну братика))) значит в третий раз пойдем за дочкой) даст Бог здоровье и благополучие и все будет хорошо!!!
Ну а вот собственно и сынок( младший))))




