Узи 3D-4D.
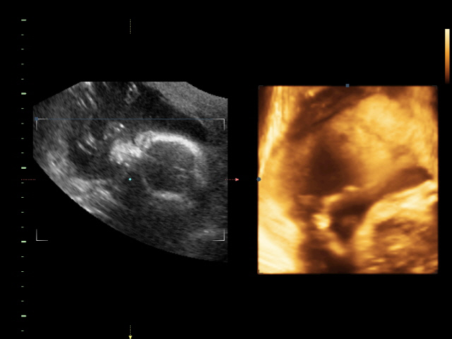
УЗИ, КТГ, доплерУраа!!!Сходили наконец-то на узи!!!!Все у нас супер!Все хорошо!!Мы перевернулись,теперь в головном предлежании.Плацента поднялась.По узи срок 22-23 недели,как и должно быть в принципе))Так же нам подтвердили мальчика,наделали видео три штуки,штук 10 фото на диске.Вообщем девочки я очень довольна.Единственное только думаю рано в 23 недели идти на 3D узи.Потому что малыш еще не до конца развился,ну зато такая память!!!Вообщем всем довольна!!! 
Даже не знаю как еще отобразить свои эмоции!!!Малыш на узи сначала вел себя спокойно ручки к лицу прикладывал,будто задумался,потом стал головку прятать,не нравится нам показываться теперь((Ох как я жду этого пупса!!!!
И воточку напоследок 

Marishka
Да, наверно на 23 неделе делать рано 3d узи, в первую беременность на 29 ходили)
07.11.2013
Ответить
катюша
Мн посмотреть так захотелось,как же он выглядит,мой малыш.Воооот посмотрела,заодно и фото на память,потом неделек в 30 еще раз схожу!
08.11.2013
Ответить
Marishka
Да мне тоже хочется) мы на след неделе на простое узи пойдем, а попозже и на 3D)
08.11.2013
Ответить
Marishka
Да, они очень быстро растут) я недели две назад совершенно случайно была на УЗИ, такая миленькая, машет ручками. Мне тоже так не терпится, но всему свое время) торопить его не хочу, оно и так быстро бежит)
08.11.2013
Ответить
катюша
Да уж,время очень быстро летит.У меня муж торопит,давай говорит уже вылезай,хватит там сидеть 

08.11.2013
Ответить
Marishka
Пусть побережет эти слова к тому времени, когда уже пдр будет близко, сейчас они совсем не к чему.
08.11.2013
Ответить
катюша
Да,я тоже говорю рано!Слушай,а это нормально,что он постоянно ночью ложится поперек,как палка и я ни на одном доку спать не могу,больно очень...?
08.11.2013
Ответить
Marishka
Да, это нормально) Я в первую беременность пол ночи ворочалась,потому что не нравилось им ни на одном боку спать, потом утихомиривались) А у соседка мальчика ждала и говорила, что только на одном боку разрешал спать, причем на левом, на правом ему не нравилось.
08.11.2013
Ответить
катюша
Я ни на одном не могу спать.Он то на лево,то на право ложится,еще и тошнота наступает ночью+изжога,в итоге я всю ночь сижу и сидя засыпаю опираясь на стенку.Потому что лежать невозможно просто!!!!!!!!!!!Ужас какой то.Надеюсь дальше мой малыш пожалеет маму и будет давать ей поспать хоть немного ночью.
08.11.2013
Ответить
катюша
Меня так удивило как он там лежит...ручки прикладывает к лицу.Руками дубасит меня оказывается,я думала у него ноги такие сильные,оказывается ручки.Так на папку похож..ИИИИй..милашка моя!! 

07.11.2013
Ответить
Спасииибочки!!
Как же я хочу его уже скорей увидеть!