Девочки, посмотрите узи!!!
УЗИ, КТГ, доплерЯ просто второй день хожу, как в тумане...
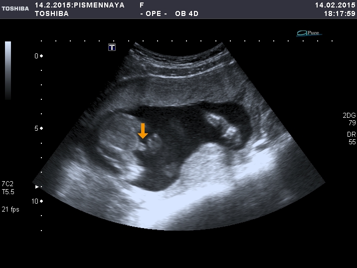
Девчули, кто делал узи на 16-17 неделях и узнал пол - гляньте, если не сложно поделитесь своими фотками. Я просто до сих пор не могу поверить, что наш Марк превратился в девочку!!! Может ошибка, кто помнит фото "бубенчиков"? Девочкины мамы - что скажите??? На фото две согнутые ноги и между ними стрелка указывает на половые органы, подписано "девочка".
спасибо всем!!!
Даффка
У нас на 12 недельки такие яйки большие были. Не с чем не перепутаешь. А у вас явно дочурка будет)))))
23.03.2015
Ответить
Светлана
У нас на 13 недельке писюн уже торчком был, на 23 - такие основательные коки и писюн. Сомнений совсем никаких не было).
22.03.2015
Ответить
Татьяна
явный пирожочек))))у меня такие же фотки были с дочками))))искать надо )))а вот сейчас в 15 недель сына пообещали,для меня разница очевидна ...они отличаются .Полосочек на моем снимке не видно,а вот яички висят))))

21.03.2015
Ответить
❀хитрЮлька❀
это узи в 19 неделек. а в 17 мне гарантировали 100% девочку и показывали на экране половые губы 

21.03.2015
Ответить
❀хитрЮлька❀
по началу — да. очень.сильно меня обнадёжили. я за эти две недели, что жила с мыслями о дочке, столько всего себе нафантазировала.но потом пришла в себя. понимаю, что тут мы не выбираем.
21.03.2015
Ответить
Sofochka
Вы молодец, так и есть! К тому же уверена, вы ещё третий раз сходите за девочкой !
22.03.2015
Ответить
Sofochka
Да, как будто сидит на экране раздвинув ножки. Стрелка указывает на половые органы.
21.03.2015
Ответить
Мамуля-кисуля
Тогда на девчонку похоже! У моего там такой... даже не мешок, а "мешище" сразу на узи стал показываться....
22.03.2015
Ответить
Sofochka
Ого! Это вы сейчас имеете ввиду или со старшим детём? А на каком сроке мешочек был?
22.03.2015
Ответить
Мамуля-кисуля
Со старшим конечно. На первый скрининг сказали мальчик, но не показали. В 18 недель на узи распечатали крупный план мешочка)
22.03.2015
Ответить
Анастасия ⚖️ Медиатор. Юрист
Похоже на девочку))) может в прошлый раз пуповина торчала
21.03.2015
Ответить
Оставшиеся комментарии доступны после регистрации
Зарегистрируйтесь и получите полный доступ ко всем функциям сайта.
