Поломать глаза,но не об тест)
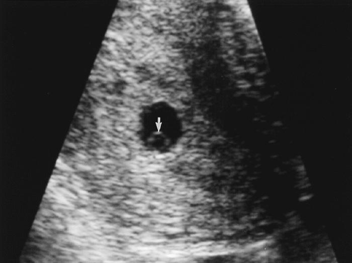
УЗИ, КТГ, доплервсем хорошего дня и самочувствия💋Нам 5,5 недель акушерских )История загадочная про беременность,позже напишу пост,когда услышу заветный звук сердечка!А сейчас меня интересует вот что Была я на УЗИ вчера(рекомендация врача) ,сказали все соответсвует сроку,через 10 дней контроль эмбриончика и СБ,ну а пока только ПЯ 6*7мм))Спросила про ЖМ,мне узист сказал,что он с эмбрионом появится,но на снимке я вижу его)хах)может и бред,но посмотрите,кто нибудь кроме меня видит кружочек?))я уже все фильтры освоила,ну просто Иниересно и не более того))фото воть 
Алла
Не переживайте. Уу всех по разному. У меня на вашем сроке жм не видели, щато э мбриончик каким то чудом обнаружили. Через две недели уже все на месте было)
14.11.2016
Ответить
Агата
ага с лева) и небольшая точка отмеченная узисткой) справа регистрация сердцебиения. сдесь нам 5 и 4 (аппарат очень хороший и узистка, нас искали так как акушерский больше был и ставили зб)
14.11.2016
Ответить