Первое УЗИ))
УЗИ, КТГ, доплерВчера сходила на первое узи, чтобы убедится, что все у нас хорошо)
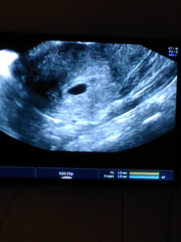
1 плодное яйцо в матке. Срок 5 недель и 2 дня. Сделала фото) все у нас хорошо)) 
Ольга
Пока нет. Через 2 недели сказали. Я 4 встаю на учет. На 1м скрининге все посмотрю.)
27.08.2018
Ответить
Tasha
у нас бз УЗИ, где есть подтверждение сб и эмброна, на учет даже не ставят, а большую карту так вообще заводят уже недель в 9-10
27.08.2018
Ответить
JaneParker
я пришла в ЖК в 7н4д с УЗИ с подтверждением СБ - сразу поставили на учет и завели обменку
27.08.2018
Ответить
Tasha
повезло))) я пришла в 6 недель с УЗИ и подтверждением и то, меня посмотрели, распросили и отправили гулять до 9 недели. в 9 недель уже поставили на учет. спрашивала тут у девочек об этом, почти все сказали, что так же было.
27.08.2018
Ответить
Ольга
Я когда записывалась на прием, спросила про сроки постановки на учет. Мне ответили, как придете так сразу и поставим на учет.
27.08.2018
Ответить
Tasha
ну так отказать то они не могут, а по факту чаще выходит иначе. И делают они это по своей выгоде - много бумаг заполнять, а бер. на сроке до 9 недель часто прерывается - все труды коту под хвост и их за потерю беременности тоже корят, это влияет на рейтинг жк.
27.08.2018
Ответить