Ну вот я и узнала Пол малыша. Третий мальчик...
УЗИ, КТГ, доплервозможно, и появится в нашей семье когда-нибудь позже, но не в этот раз. Потому что у нас ДЕВОЧКА, ДОЧЕНЬКА!!!!!!!!!!😍😍😍😍😍😍 Самая долгожданная на свете малышка! Я ждала ее 9 лет, с той самой секунды, как мне с первым сыном сказали, что будет мальчик! Как же я мечтала о ней, девочки! Как я сейчас счастлива!!!! ♥️♥️♥️♥️ Спасибо, Господи, за этот бесценный подарок!
До конца все равно не верю, оставляю 10% на ошибку, но узист был уверен на 100%💪😀 Ну скоро уже скрининг, надеюсь скажут то же самое🙏
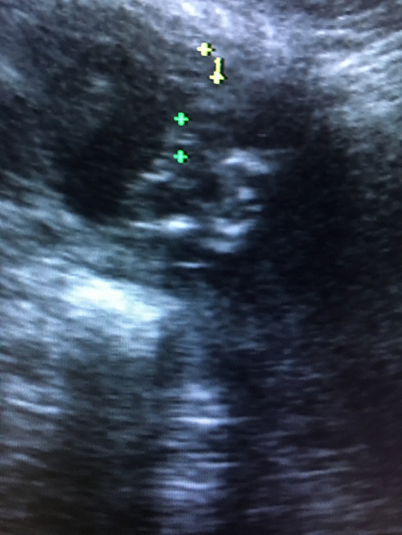
Расскажу про УЗИ! Захожу, говорю зачем пришла, ложусь. А узист - дяденька вроде опытный и любит поболтать. Смотрит меня, поворачивает на бок опять смотрит молча. Потом убирает датчик и начинает болтать. Я лежу и думаю: ну скажи уже что-нибудь про ляльку!!!!😡 Пять минут болтал, потом говорит: « да я давно все увидел, девочка у тебя». Я только и смогла сказать: « Да ладно!!!!». Попросила показать органы. Покажу вам фоточку, посмотрите девочки, это же точно ОНА? 
Врач объяснил что там где крестик нижний - это клитор, по бокам губки половые. Вроде похоже на правду? Что скажете?
Анечка!!!! Урааааа!!!! 😍😍😍
Я так рада, ведь ждала этого момента и очень счастлива за тебя! ДОБРО ПОЖАЛОВАТЬ в другой мир, в розовый, воздушный, цветочный, кружевной, кукольный мир.... ОН ПРЕКРАСЕН!!!!! 🤗💖
А по теме: поздравляю вас с девчушкоооой!!! Это такое счастье иметь доченьку)))