Метод Рамзи

У меня не совпало оба раза
22.07.2020
А что если у меня посередине?😂
21.07.2020
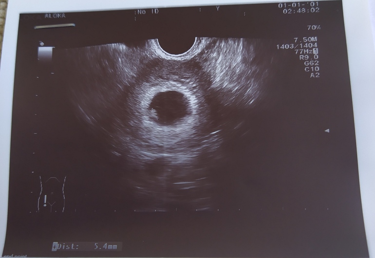
Дядя Рамзи не учёл такого поворота событий 🤷🏻‍♀️🤣 Ну а серьезно, по картинке-узи всёравно где-то есть лево или право😅 просто кто там право, а кто лево, если ПЯ же не плоское, это ж пузырь! Мне на втором узи ели второго эмбриона нашли, он прятался... так что, какой там лево/право... 😂🤭 Да по узи у автора явно ЖМ визуализируется, эмбриона на картинке не видно 🙈
21.07.2020
Тут малыш справа 😀тут где то 9 неделя
21.07.2020
Комментарий удален
21.07.2020
Комментарий удален
21.07.2020
По рамзи смотрят именно 6-8 недель чтоли ? 🙈
21.07.2020
Ну если вагинально то мальчик😉 но говорю же, у меня оба были по Рамзи девочки, но НИПТ решил что сейчас всё-таки мальчик, а в прошлый раз явно совпало😂🙈
21.07.2020
Мне соврал рамзи! Прикрепление с дочкой и с сыном в одной локации, а дети разнополые 🤷🏻‍♀️
21.07.2020
У меня справа , девочка
21.07.2020
как узнаете отпишитесь
21.07.2020
и у меня мальчик слева подтвердился-если узи вагинальное
21.07.2020
Вот мой слева это мальчик у меня
21.07.2020
Марина, а узи у вас вагинальное или абдоминальное?
03.10.2021
Мария Баттал, вагинальное
03.10.2021
По рамзи у меня прикрепление справа и вроде как пророчат мальчика... но я не верю почему-то🤷‍♀️....
21.07.2020
У меня мальчик справа
21.07.2020
Значит не достоверно все это 🤔
21.07.2020
У вас по-моему справа прикреплён
21.07.2020
если вагинальное узи то мальчик слева,если узи по животу то справа
21.07.2020
вообще-то это лево так что и у вас тогда подтверждается
21.07.2020
У меня вагинальное узи в 5 недель сказали расположен справа , и оказался мальчик , сейчас тоже справа больше лежит
21.07.2020
но говорите что у автора справа как справа если это лево
21.07.2020
вообще то это лево
21.07.2020
Пол на 16 недели У кого первый ребенок дочка, а второй сынок?